Tandplak verwijderen en je orale gezondheid verbeteren

Alhoewel er geen definitieve oplossing is om tandplak te verwijderen en te voorkomen dat het zich opbouwt op je tanden, zijn er wel een aantal dingen die je thuis kan doen om de ophoping in je mond te en de progressie te verminderen.
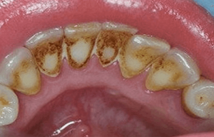
Tandplak vormt zich wanneer de resten van het voedsel dat je eet zich ophopen op je binnenste en buitenste tandlagen. Dit probleem kan een slechte adem veroorzaken, maar ook de ontwikkeling van andere aandoeningen wanneer dit verhardt en verkalkt op je tanden. Wil je meer leren? Blijf dan zeker lezen.
Het beste wat je kan doen om tandplak te verwijderen, is de manier waarop je je tanden poetst aanpassen.
De meeste mensen gebruiken wanneer ze hun tanden poetsen een horizontale beweging van links naar rechts, maar wat ze mogelijk niet weten is dat dit de gevoeligheid van tanden vergroot en er zelfs voor kan zorgen dat de tandplak meer tussen de tanden gaat zitten.
Poets je tanden in plaats daarvan verticaal van boven naar beneden en gebruik altijd een ronde beweging.
Vergeet na het tandenpoetsen niet te flossen om opbouw van plak tussen je tanden te verwijderen. Spoel zodra je klaar bent met mondspoeling en maak je tandenborstel ook goed schoon om voedsel dat mogelijk tussen je borstelharen zit te verwijderen.
Opmerking: zorg ervoor dat je je tandenborstel tenminste vier keer per jaar vervangt en gebruik tandpasta waar fluoride inzit.
Pas je dieet aan om tandplak te verwijderen
Een gebalanceerd dieet eten is een van de beste dingen die je kan doen om je dentale gezondheid te verbeteren. Probeer om suikers en koolhydraten te vermijden en drink geen frisdranken (of drink ze met een rietje, zodat ze niet rechtstreeks in contact met je tanden komen).
Eet niet te veel voedingsmiddelen die gemaakt zijn van geraffineerde bloem. Doe je dit wel, dan moet je onthouden dat je je tanden naderhand moet poetsen om bacteriële infecties te vermijden.
Hoe kan je je orale hygiëne aanvullen?
Huismiddelen kunnen soms erg effectief zijn voor het bestrijden van tandbederf en problemen zoals tandplak, maar het is belangrijk dat je ze niet te veel gebruikt, want anders veroorzaak je nog meer schade.
Sommige van de huismiddelen die kunnen helpen om tandplak te bestrijden en je algehele dentale gezondheid kunnen bevorderen zijn hieronder beschreven.
Kauwgom

Alhoewel het een beetje tegenstrijdig klinkt, kan het kauwen van suikervrije kauwgom tandplak op de tanden verwijderen. Kauw er gewoon op na elke maaltijd, zodat je voedingsresten tussen je tanden los kan maken en ze vervolgens volledig kan verwijderen door je tanden te poetsen.
Baking soda

Voeg een kleine hoeveelheid baking soda aan je tandpasta toe wanneer je je tanden poetst. Baking soda lost voedingsresten op de oppervlakte van je tanden op en kan ze ook significant witter maken.
Je kan dit maximaal één keer per week doen voor het slapengaan. Onthoud dat je maar een kleine hoeveelheid van dit product gebruikt.
Citroen

Citroensap is geweldig voor het bestrijden van tandplak en tandsteen. Het zuur van citroenen is bijtend, wat helpt om de mond grondig te reinigen. Het maakt tanden ook helderder, elimineert een slechte adem en kan tanden zelfs wit maken.
Gebruik het gewoon één keer per week om tandplak geleidelijk aan te verminderen. Pas op dat je het niet te vaak gebruikt, want het kan een tegenstrijdig effect hebben als je het te veel gebruikt.
Misschien ook interessant:
Schone tanden met 100% natuurlijke producten
Onthoud!
Alhoewel er een aantal methodes zijn voor het schoonmaken, bleken en verbeteren van je algehele dentale gezondheid, is elke zes maanden je tandarts bezoeken het beste wat je kan doen om gezonde tanden te behouden.
Er is niks beter dan een professionele schoonmaak om dit oncomfortabele en schadelijke probleem van tandplak op te lossen.
Alhoewel er geen definitieve oplossing is om tandplak te verwijderen en te voorkomen dat het zich opbouwt op je tanden, zijn er wel een aantal dingen die je thuis kan doen om de ophoping in je mond te en de progressie te verminderen.
Tandplak vormt zich wanneer de resten van het voedsel dat je eet zich ophopen op je binnenste en buitenste tandlagen. Dit probleem kan een slechte adem veroorzaken, maar ook de ontwikkeling van andere aandoeningen wanneer dit verhardt en verkalkt op je tanden. Wil je meer leren? Blijf dan zeker lezen.
Het beste wat je kan doen om tandplak te verwijderen, is de manier waarop je je tanden poetst aanpassen.
De meeste mensen gebruiken wanneer ze hun tanden poetsen een horizontale beweging van links naar rechts, maar wat ze mogelijk niet weten is dat dit de gevoeligheid van tanden vergroot en er zelfs voor kan zorgen dat de tandplak meer tussen de tanden gaat zitten.
Poets je tanden in plaats daarvan verticaal van boven naar beneden en gebruik altijd een ronde beweging.
Vergeet na het tandenpoetsen niet te flossen om opbouw van plak tussen je tanden te verwijderen. Spoel zodra je klaar bent met mondspoeling en maak je tandenborstel ook goed schoon om voedsel dat mogelijk tussen je borstelharen zit te verwijderen.
Opmerking: zorg ervoor dat je je tandenborstel tenminste vier keer per jaar vervangt en gebruik tandpasta waar fluoride inzit.
Pas je dieet aan om tandplak te verwijderen
Een gebalanceerd dieet eten is een van de beste dingen die je kan doen om je dentale gezondheid te verbeteren. Probeer om suikers en koolhydraten te vermijden en drink geen frisdranken (of drink ze met een rietje, zodat ze niet rechtstreeks in contact met je tanden komen).
Eet niet te veel voedingsmiddelen die gemaakt zijn van geraffineerde bloem. Doe je dit wel, dan moet je onthouden dat je je tanden naderhand moet poetsen om bacteriële infecties te vermijden.
Hoe kan je je orale hygiëne aanvullen?
Huismiddelen kunnen soms erg effectief zijn voor het bestrijden van tandbederf en problemen zoals tandplak, maar het is belangrijk dat je ze niet te veel gebruikt, want anders veroorzaak je nog meer schade.
Sommige van de huismiddelen die kunnen helpen om tandplak te bestrijden en je algehele dentale gezondheid kunnen bevorderen zijn hieronder beschreven.
Kauwgom

Alhoewel het een beetje tegenstrijdig klinkt, kan het kauwen van suikervrije kauwgom tandplak op de tanden verwijderen. Kauw er gewoon op na elke maaltijd, zodat je voedingsresten tussen je tanden los kan maken en ze vervolgens volledig kan verwijderen door je tanden te poetsen.
Baking soda

Voeg een kleine hoeveelheid baking soda aan je tandpasta toe wanneer je je tanden poetst. Baking soda lost voedingsresten op de oppervlakte van je tanden op en kan ze ook significant witter maken.
Je kan dit maximaal één keer per week doen voor het slapengaan. Onthoud dat je maar een kleine hoeveelheid van dit product gebruikt.
Citroen

Citroensap is geweldig voor het bestrijden van tandplak en tandsteen. Het zuur van citroenen is bijtend, wat helpt om de mond grondig te reinigen. Het maakt tanden ook helderder, elimineert een slechte adem en kan tanden zelfs wit maken.
Gebruik het gewoon één keer per week om tandplak geleidelijk aan te verminderen. Pas op dat je het niet te vaak gebruikt, want het kan een tegenstrijdig effect hebben als je het te veel gebruikt.
Misschien ook interessant:
Schone tanden met 100% natuurlijke producten
Onthoud!
Alhoewel er een aantal methodes zijn voor het schoonmaken, bleken en verbeteren van je algehele dentale gezondheid, is elke zes maanden je tandarts bezoeken het beste wat je kan doen om gezonde tanden te behouden.
Er is niks beter dan een professionele schoonmaak om dit oncomfortabele en schadelijke probleem van tandplak op te lossen.
Alle aangehaalde bronnen zijn grondig gecontroleerd door ons team om hun kwaliteit, betrouwbaarheid, actualiteit en geldigheid te waarborgen. De bibliografie van dit artikel werd beschouwd als betrouwbaar en wetenschappelijk nauwkeurig.
- Chetruş, V., & Ion, I. R. (2013). Dental Plaque – Classification , Formation , and identification. International Journal of Medical Dentistry. https://doi.org/10.1016/0092-8674(95)90408-5
- Rosan, B., & Lamont, R. J. (2000). Dental plaque formation. Microbes and Infection. https://doi.org/10.1016/S1286-4579(00)01316-2
- Touger-Decker, R., & van Loveren, C. (2003). Sugars and dental caries. The American Journal of Clinical Nutrition. https://doi.org/10.1039/9781849734929-00016
Deze tekst wordt alleen voor informatieve doeleinden aangeboden en vervangt niet het consult bij een professional. Bij twijfel, raadpleeg uw specialist.







