Symptomen van longkanker en feiten over de behandeling

- Als je inademt, vullen je longen zich met lucht. Dit is hoe je aan zuurstof komt.
- Als die lucht weer uitgeblazen wordt, dan stoot je lichaam kooldioxide uit.
Maar hoe ontstaan problemen zoals longkanker? Alles begint met de cellen die je kunt vinden in de verschillende weefsels en organen in je lichaam – in dit geval de longen.
Deze cellen delen zich om nieuwe cellen te vormen. Als ze beschadigd zijn of oud worden, dan worden ze vervangen door andere cellen.
Soms loopt dit delingsproces uit de hand en wordt er een overschot aan nieuwe cellen geproduceerd voor vernieuwing. Dit is hoe een tumor zich vormt.
Niet-kleincellige longkanker is het meestvoorkomende type kanker waar veel longkanker symptomen toe kunnen leiden.
Vormen van kanker

Niet-kleine kankercellen kunnen gecategoriseerd worden in verschillende klassen, gebaseerd op hoe ze eruit zien onder de microscoop:
- Plaveiselcelcarcinoom: dit type kanker ontstaat in de squameuze cellen. Dit zijn dunne, platte cellen die lijken op schubben. De medische term hiervoor is plaveiselcelcarcinoom.
- Grootcellig carcinoom: dit type komt voor uit verschillende soorten grote cellen.
- Adenocarcinoom: dit type kanker ontstaat in de cellen die de longblaasjes vormen en stoffen zoals slijm aanmaken.
- Weinig voorkomende types: pleomorfe carcinoïde tumoren, carcinomen in de speekselklier en niet geclassificeerde carcinomen.
Bekijk ook: 8 symptomen van kanker die de meeste mensen negeren
Risicofactoren
- Mensen die roken hebben 90% meer kans om longkanker te krijgen.
- Vergeet ook niet dat het inademen van rook van anderen net zo slecht is als zelf roken.
- Bovendien is het inademen van stoffen als arseen, silicium of chroom een andere risicofactor.
Diagnose stellen bij symptomen van longkanker

Het is echter niet mogelijk om een volledig klinisch profiel voor de diagnose van kanker te definiëren. Maar de volgende symptomen van longkanker vallen wel op:
- Constante of erger wordende hoest
- Pijn op de borst
- Moeite met ademhalen
- Hoest met bloed of slijm dat een roestkleur heeft
- Constant gevoel van moeheid
- Schorheid
- Gewichtsverlies zonder aanwijsbare reden
- Infecties zoals terugkerende bronchitis en longontsteking
- Een ‘fluitje’ op de borst (bij iedere ademhaling hoor je een soort fluitend geluid)
Daarnaast kun je de volgende symptomen ervaren, wanneer longkanker zich uitbreidt naar andere delen van het lichaam:
- Het geel worden van de huid, als de kanker zich uitbreidt naar de lever.
- Pijn in de botten.
- Hoofdpijn.
- Zwakheid in de armen en benen.
- Duizeligheid.
- Aanvallen.
- Gezwollen lymfeklieren door de opbouw van cellen in je immuunsysteem.
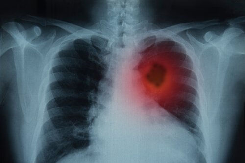
Als deze symptomen langer aanhouden dan drie weken dan is het van groot belang dat je je dokter bezoekt voor een röntgenfoto van de borstkas.
Op basis van je röntgenresultaten kan de arts dan je gedetailleerde medische geschiedenis opvragen en een lichamelijk onderzoek uitvoeren samen met andere laboratoriumtesten.
Lees ook: 8 symptomen van baarmoederhalskanker
Opsporing
Dit bestaat uit het zoeken naar de ziekte voordat een patiënt überhaupt symptomen heeft.
- Lichamelijk onderzoek: een dokter controleert je algehele gezondheid om te kijken of er knobbeltjes zijn of iets anders ongewoons. Je gewoontes en ziektegeschiedenis zullen hierbij worden meegenomen.
- Laboratoriumtests: er worden monsters genomen van bloed, urine, weefsel en andere materialen die tekenen van kanker kunnen vertonen.
- Beeldvorming (zoals röntgenfoto’s): met deze procedure kan de arts beelden van de interne delen van je lichaam verkrijgen.
- Genetisch onderzoek: deze onderzoeken kijken naar genetische mutaties die gerelateerd kunnen zijn aan verschillende soorten kanker.
Opmerking: Het is ook belangrijk dat je dokter alle procedures voor het opsporen van kanker goedkeurt. Ze hoeven namelijk niet allemaal even nuttig te zijn en soms kunnen ze zelfs bepaalde risico’s met zich meebrengen.
Behandeling

Er zijn verschillende behandelingen mogelijk voor longkanker, afhankelijk van de ernst en de omvang van de schade. De volgende behandelingen zijn het meest voorkomend:
- Operatie: een operatie waarbij het kankerweefsel verwijdert wordt.
- Chemotherapie: het gebruik van medicijnen in pil- en intraveneuze vorm die de kanker reduceren of uitroeien.
- Radiotherapie: de kankercellen worden aangepakt met een intensieve bestraling.
- Gerichte therapie: het gebruik van medicijnen om het verspreiden van de kankercellen te blokkeren.
Mis niet: Verbeter de gezondheid van je longen met 8 kruiden
Preventie
- Rook niet en vermijd ook het inademen van rook van anderen.
- Verhoog daarnaast je consumptie van fruit en groenten.
- Beweeg regelmatig.
- Verbrand geen hout in je huis (bijvoorbeeld in de open haard), want het kan schadelijke substanties vrijgeven.
- Vermijd gebieden die erg geïndustrialiseerd zijn.
- Verminder ook je alcoholinname.
- Laat ten slotte een jaarlijkse medische controle doen om afwijkingen te detecteren.
En vergeet niet: beter voorkomen dan genezen. Negeer dan ook nooit symptomen van longkanker: het is beter om meteen naar de dokter te gaan.
- Als je inademt, vullen je longen zich met lucht. Dit is hoe je aan zuurstof komt.
- Als die lucht weer uitgeblazen wordt, dan stoot je lichaam kooldioxide uit.
Maar hoe ontstaan problemen zoals longkanker? Alles begint met de cellen die je kunt vinden in de verschillende weefsels en organen in je lichaam – in dit geval de longen.
Deze cellen delen zich om nieuwe cellen te vormen. Als ze beschadigd zijn of oud worden, dan worden ze vervangen door andere cellen.
Soms loopt dit delingsproces uit de hand en wordt er een overschot aan nieuwe cellen geproduceerd voor vernieuwing. Dit is hoe een tumor zich vormt.
Niet-kleincellige longkanker is het meestvoorkomende type kanker waar veel longkanker symptomen toe kunnen leiden.
Vormen van kanker

Niet-kleine kankercellen kunnen gecategoriseerd worden in verschillende klassen, gebaseerd op hoe ze eruit zien onder de microscoop:
- Plaveiselcelcarcinoom: dit type kanker ontstaat in de squameuze cellen. Dit zijn dunne, platte cellen die lijken op schubben. De medische term hiervoor is plaveiselcelcarcinoom.
- Grootcellig carcinoom: dit type komt voor uit verschillende soorten grote cellen.
- Adenocarcinoom: dit type kanker ontstaat in de cellen die de longblaasjes vormen en stoffen zoals slijm aanmaken.
- Weinig voorkomende types: pleomorfe carcinoïde tumoren, carcinomen in de speekselklier en niet geclassificeerde carcinomen.
Bekijk ook: 8 symptomen van kanker die de meeste mensen negeren
Risicofactoren
- Mensen die roken hebben 90% meer kans om longkanker te krijgen.
- Vergeet ook niet dat het inademen van rook van anderen net zo slecht is als zelf roken.
- Bovendien is het inademen van stoffen als arseen, silicium of chroom een andere risicofactor.
Diagnose stellen bij symptomen van longkanker

Het is echter niet mogelijk om een volledig klinisch profiel voor de diagnose van kanker te definiëren. Maar de volgende symptomen van longkanker vallen wel op:
- Constante of erger wordende hoest
- Pijn op de borst
- Moeite met ademhalen
- Hoest met bloed of slijm dat een roestkleur heeft
- Constant gevoel van moeheid
- Schorheid
- Gewichtsverlies zonder aanwijsbare reden
- Infecties zoals terugkerende bronchitis en longontsteking
- Een ‘fluitje’ op de borst (bij iedere ademhaling hoor je een soort fluitend geluid)
Daarnaast kun je de volgende symptomen ervaren, wanneer longkanker zich uitbreidt naar andere delen van het lichaam:
- Het geel worden van de huid, als de kanker zich uitbreidt naar de lever.
- Pijn in de botten.
- Hoofdpijn.
- Zwakheid in de armen en benen.
- Duizeligheid.
- Aanvallen.
- Gezwollen lymfeklieren door de opbouw van cellen in je immuunsysteem.
Als deze symptomen langer aanhouden dan drie weken dan is het van groot belang dat je je dokter bezoekt voor een röntgenfoto van de borstkas.
Op basis van je röntgenresultaten kan de arts dan je gedetailleerde medische geschiedenis opvragen en een lichamelijk onderzoek uitvoeren samen met andere laboratoriumtesten.
Lees ook: 8 symptomen van baarmoederhalskanker
Opsporing
Dit bestaat uit het zoeken naar de ziekte voordat een patiënt überhaupt symptomen heeft.
- Lichamelijk onderzoek: een dokter controleert je algehele gezondheid om te kijken of er knobbeltjes zijn of iets anders ongewoons. Je gewoontes en ziektegeschiedenis zullen hierbij worden meegenomen.
- Laboratoriumtests: er worden monsters genomen van bloed, urine, weefsel en andere materialen die tekenen van kanker kunnen vertonen.
- Beeldvorming (zoals röntgenfoto’s): met deze procedure kan de arts beelden van de interne delen van je lichaam verkrijgen.
- Genetisch onderzoek: deze onderzoeken kijken naar genetische mutaties die gerelateerd kunnen zijn aan verschillende soorten kanker.
Opmerking: Het is ook belangrijk dat je dokter alle procedures voor het opsporen van kanker goedkeurt. Ze hoeven namelijk niet allemaal even nuttig te zijn en soms kunnen ze zelfs bepaalde risico’s met zich meebrengen.
Behandeling

Er zijn verschillende behandelingen mogelijk voor longkanker, afhankelijk van de ernst en de omvang van de schade. De volgende behandelingen zijn het meest voorkomend:
- Operatie: een operatie waarbij het kankerweefsel verwijdert wordt.
- Chemotherapie: het gebruik van medicijnen in pil- en intraveneuze vorm die de kanker reduceren of uitroeien.
- Radiotherapie: de kankercellen worden aangepakt met een intensieve bestraling.
- Gerichte therapie: het gebruik van medicijnen om het verspreiden van de kankercellen te blokkeren.
Mis niet: Verbeter de gezondheid van je longen met 8 kruiden
Preventie
- Rook niet en vermijd ook het inademen van rook van anderen.
- Verhoog daarnaast je consumptie van fruit en groenten.
- Beweeg regelmatig.
- Verbrand geen hout in je huis (bijvoorbeeld in de open haard), want het kan schadelijke substanties vrijgeven.
- Vermijd gebieden die erg geïndustrialiseerd zijn.
- Verminder ook je alcoholinname.
- Laat ten slotte een jaarlijkse medische controle doen om afwijkingen te detecteren.
En vergeet niet: beter voorkomen dan genezen. Negeer dan ook nooit symptomen van longkanker: het is beter om meteen naar de dokter te gaan.
Deze tekst wordt alleen voor informatieve doeleinden aangeboden en vervangt niet het consult bij een professional. Bij twijfel, raadpleeg uw specialist.







