Leer de soorten en oorzaken van een vaginale infectie kennen

De vagina is een ondiep genitaal orgaan dat daarom blootgesteld wordt aan verschillende soorten infecties. Een vaginale infectie veroorzaakt verschillende ongemakkelijke symptomen, afhankelijk van het type.
Om deze reden kan de afscheiding verschillen van geur, kleur en consistentie. Dat geldt ook voor de jeuk en pijn die sommige infecties kunnen veroorzaken.
De specifieke ongemakken of symptomen helpen bij het diagnosticeren van een vaginale infectie. Dat geldt zowel voor de soort als voor de oorzaak. We zetten de meest voorkomende vaginale infecties en hun oorzaken voor je op een rij.
We raden aan om te lezen:
Verlicht de symptomen van bacteriële vaginose met natuurlijke remedies
Een vaginale infectie: de meest voorkomende soorten en hun oorzaken
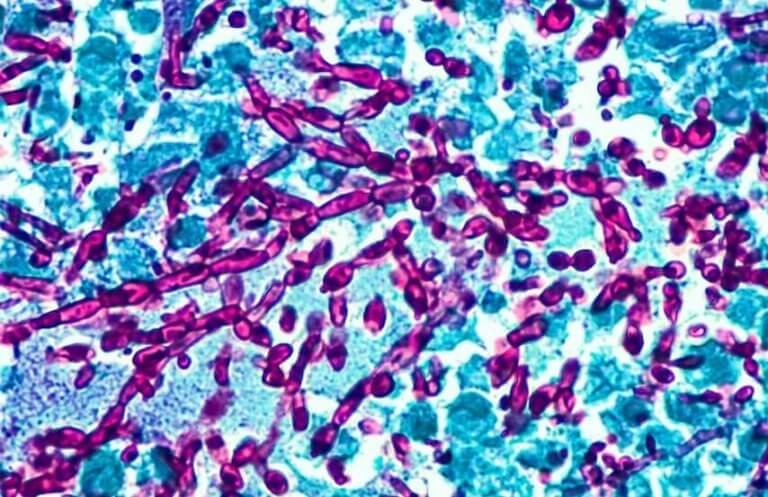
1. Vaginale candidiasis

Een vaginale infectie veroorzaakt door candidiasis komt zeer vaak voor. Het wordt gekenmerkt door symptomen zoals:
- Vaginale jeuk
- Dikke, witachtige afscheiding
- Rode verkleuring van de vagina en vulva
Oorzaak
Deze infectie wordt veroorzaakt door de schimmel Candida Albicans. Deze schimmel maakt deel uit van de natuurlijke flora van de vagina, het spijsverteringskanaal en de mond. Wanneer deze schimmels in aantal toenemen in het vaginale weefsel, veroorzaken ze de karakteristieke afscheiding.
Het lijkt te verschijnen als een gevolg van een verzwakking van het immuunsysteem. Dit kan veroorzaakt worden door van ziekten zoals mellitus diabetes, leukemie en dergelijke. Het kan ook ontstaan als gevolg van seksueel contact.
Lees dit artikel: Oesterzwammen versterken je immuunsysteem op natuurlijke wijze
2. Bacteriële vaginose
Deze vorm van een vaginale infectie is ook één van de meest voorkomende soorten. De kenmerken van de afscheiding die het genereert zijn bepalend voor de diagnose ervan. De afscheiding die wordt uitgescheiden als gevolg van een bacteriële vaginose wordt gekenmerkt door:
- Visgeur, vanwege de aminen die het bevat
- Intense vaginale jeuk
- Geelwitte kleur
- Dyspareunie of vaginisme
Oorzaak
Een vaginale infectie zoals bacteriële vaginose wordt veroorzaakt door een sterke toename van een combinatie van bacteriën die in de vaginale flora. Daardoor wordt het vaginale evenwicht volledig doorbroken. Bacteriële vaginose is niet besmettelijk door seksueel contact. Terugkerende infecties treden echter meestal op bij seksueel actieve vrouwen.
3. Trichomoniasis

Helaas veroorzaakt een vaginale infectie zoals deze veel ongemak voor de vrouwen die er last van hebben. Het is een matig intense infectie dus je moet dit tijdig behandelen. Anders kan het een bekkenontsteking veroorzaken, wat weer kan leiden tot een sepsis of een gegeneraliseerde infectie.
De afscheiding veroorzaakt door dit soort vaginale infecties wordt gekenmerkt door symptomen zoals:
- Groenachtige kleur
- Intense misselijkmakende geur
- Volledig vloeibare textuur
- Vaginale jeuk
- Pijn bij het urineren
Oorzaak
Het wordt veroorzaakt door een parasiet genaamd Trichomonas Vaginalis. Deze parasiet wordt overgedragen door seksueel contact. Deze parasiet kan in zowel de mannelijke als vrouwelijke geslachtsorganen leven. De vaginale afscheiding die het veroorzaakt heeft zeer specifieke kenmerken waardoor het op de juiste wijze kan worden gediagnosticeerd. Dat maakt het mogelijk om een tijdige behandeling te kunnen geven.
4 .Chlamydiale vaginitis

Dit is een vaginale infectie die ook veel voorkomt. Het ontstaat het vaakst bij vrouwen tussen de 18 en 35 jaar.
In het begin kan het een asymptomatische aandoening zijn. Maar later veroorzaakt dit de volgende symptomen:
- Vaginale pijn
- Licht bloeden tijdens geslachtsgemeenschap
- Pijn in het onderste deel van de buik
- Jeuk in de vulva
Oorzaak
Het micro-organisme dat verantwoordelijk is voor deze vaginale infectie wordt Chlamydia trachomatis genoemd. Deze wordt overgedragen door seksueel contact. Het is een vaginale infectie met een hoog risico omdat het microscopische laesies in de baarmoederhals veroorzaakt. Deze beschadigingen kunnen de voortplantingscapaciteit beïnvloeden. Een tijdige behandeling van deze aandoening is dan ook essentieel.
Kortom, een vaginale infectie vereist onmiddellijke behandeling vanwege de complicaties die ze op de lange termijn kunnen veroorzaken. Als je één van de bovengenoemde symptomen ervaart kun je het beste naar een gespecialiseerde arts gaan. De gynaecoloog kan dan zo spoedig mogelijk een behandeling starten. Uiteraard zal de behandeling afhangen van het soort vaginale infectie dat je hebt.
De vagina is een ondiep genitaal orgaan dat daarom blootgesteld wordt aan verschillende soorten infecties. Een vaginale infectie veroorzaakt verschillende ongemakkelijke symptomen, afhankelijk van het type.
Om deze reden kan de afscheiding verschillen van geur, kleur en consistentie. Dat geldt ook voor de jeuk en pijn die sommige infecties kunnen veroorzaken.
De specifieke ongemakken of symptomen helpen bij het diagnosticeren van een vaginale infectie. Dat geldt zowel voor de soort als voor de oorzaak. We zetten de meest voorkomende vaginale infecties en hun oorzaken voor je op een rij.
We raden aan om te lezen:
Verlicht de symptomen van bacteriële vaginose met natuurlijke remedies
Een vaginale infectie: de meest voorkomende soorten en hun oorzaken
1. Vaginale candidiasis

Een vaginale infectie veroorzaakt door candidiasis komt zeer vaak voor. Het wordt gekenmerkt door symptomen zoals:
- Vaginale jeuk
- Dikke, witachtige afscheiding
- Rode verkleuring van de vagina en vulva
Oorzaak
Deze infectie wordt veroorzaakt door de schimmel Candida Albicans. Deze schimmel maakt deel uit van de natuurlijke flora van de vagina, het spijsverteringskanaal en de mond. Wanneer deze schimmels in aantal toenemen in het vaginale weefsel, veroorzaken ze de karakteristieke afscheiding.
Het lijkt te verschijnen als een gevolg van een verzwakking van het immuunsysteem. Dit kan veroorzaakt worden door van ziekten zoals mellitus diabetes, leukemie en dergelijke. Het kan ook ontstaan als gevolg van seksueel contact.
Lees dit artikel: Oesterzwammen versterken je immuunsysteem op natuurlijke wijze
2. Bacteriële vaginose
Deze vorm van een vaginale infectie is ook één van de meest voorkomende soorten. De kenmerken van de afscheiding die het genereert zijn bepalend voor de diagnose ervan. De afscheiding die wordt uitgescheiden als gevolg van een bacteriële vaginose wordt gekenmerkt door:
- Visgeur, vanwege de aminen die het bevat
- Intense vaginale jeuk
- Geelwitte kleur
- Dyspareunie of vaginisme
Oorzaak
Een vaginale infectie zoals bacteriële vaginose wordt veroorzaakt door een sterke toename van een combinatie van bacteriën die in de vaginale flora. Daardoor wordt het vaginale evenwicht volledig doorbroken. Bacteriële vaginose is niet besmettelijk door seksueel contact. Terugkerende infecties treden echter meestal op bij seksueel actieve vrouwen.
3. Trichomoniasis

Helaas veroorzaakt een vaginale infectie zoals deze veel ongemak voor de vrouwen die er last van hebben. Het is een matig intense infectie dus je moet dit tijdig behandelen. Anders kan het een bekkenontsteking veroorzaken, wat weer kan leiden tot een sepsis of een gegeneraliseerde infectie.
De afscheiding veroorzaakt door dit soort vaginale infecties wordt gekenmerkt door symptomen zoals:
- Groenachtige kleur
- Intense misselijkmakende geur
- Volledig vloeibare textuur
- Vaginale jeuk
- Pijn bij het urineren
Oorzaak
Het wordt veroorzaakt door een parasiet genaamd Trichomonas Vaginalis. Deze parasiet wordt overgedragen door seksueel contact. Deze parasiet kan in zowel de mannelijke als vrouwelijke geslachtsorganen leven. De vaginale afscheiding die het veroorzaakt heeft zeer specifieke kenmerken waardoor het op de juiste wijze kan worden gediagnosticeerd. Dat maakt het mogelijk om een tijdige behandeling te kunnen geven.
4 .Chlamydiale vaginitis

Dit is een vaginale infectie die ook veel voorkomt. Het ontstaat het vaakst bij vrouwen tussen de 18 en 35 jaar.
In het begin kan het een asymptomatische aandoening zijn. Maar later veroorzaakt dit de volgende symptomen:
- Vaginale pijn
- Licht bloeden tijdens geslachtsgemeenschap
- Pijn in het onderste deel van de buik
- Jeuk in de vulva
Oorzaak
Het micro-organisme dat verantwoordelijk is voor deze vaginale infectie wordt Chlamydia trachomatis genoemd. Deze wordt overgedragen door seksueel contact. Het is een vaginale infectie met een hoog risico omdat het microscopische laesies in de baarmoederhals veroorzaakt. Deze beschadigingen kunnen de voortplantingscapaciteit beïnvloeden. Een tijdige behandeling van deze aandoening is dan ook essentieel.
Kortom, een vaginale infectie vereist onmiddellijke behandeling vanwege de complicaties die ze op de lange termijn kunnen veroorzaken. Als je één van de bovengenoemde symptomen ervaart kun je het beste naar een gespecialiseerde arts gaan. De gynaecoloog kan dan zo spoedig mogelijk een behandeling starten. Uiteraard zal de behandeling afhangen van het soort vaginale infectie dat je hebt.
Alle aangehaalde bronnen zijn grondig gecontroleerd door ons team om hun kwaliteit, betrouwbaarheid, actualiteit en geldigheid te waarborgen. De bibliografie van dit artikel werd beschouwd als betrouwbaar en wetenschappelijk nauwkeurig.
- White, B. A., Creedon, D. J., Nelson, K. E., & Wilson, B. A. (2011). The vaginal microbiome in health and disease. Trends in Endocrinology and Metabolism. https://doi.org/10.1016/j.tem.2011.06.001
- Mashburn, J. (2012). Vaginal Infections Update. Journal of Midwifery and Women’s Health. https://doi.org/10.1111/j.1542-2011.2012.00246.x
- Hainer, B. L., & Gibson, M. V. (2011). Vaginitis: Diagnosis and treatment. American Family Physician. https://doi.org/10.2165/00003495-197204050-00004
- Gonçalves, B., Ferreira, C., Alves, C. T., Henriques, M., Azeredo, J., & Silva, S. (2016). Vulvovaginal candidiasis: Epidemiology, microbiology and risk factors. Critical Reviews in Microbiology. https://doi.org/10.3109/1040841X.2015.1091805
- Malhotra, M., Sood, S., Mukherjee, A., Muralidhar, S., & Bala, M. (2013). Genital Chlamydia trachomatis: an update. The Indian Journal of Medical Research.
Deze tekst wordt alleen voor informatieve doeleinden aangeboden en vervangt niet het consult bij een professional. Bij twijfel, raadpleeg uw specialist.







