Osteoartritis van de enkels: een stille en pijnlijke aandoening

Veel mensen klagen eerder over slijtage van de heup of de knieën, maar ook osteoartritis van de enkels is een veel voorkomende vorm, die verbonden is met degeneratieve aandoeningen.
Het enkelgewricht is erg belangrijk voor het lopen. Daarnaast heeft het een essentiële functie in de houding. Het zorgt er ook voor dat de as gevormd door de heup, de knieën en de voeten, in harmonie is.
Alle complexe structuren van het enkelgewricht zijn echter onderhevig aan verschillende factoren. Die kunnen vervolgens de delicate gezondheid en het uithoudingsvermogen van de enkels beïnvloeden.
Een nare aandoening
Osteoartritis is zonder twijfel een kwaal die een echte vloek kan betekenen voor de levenskwaliteit. In dit artikel vind je meer informatie over dit onderwerp. We zijn ervan overtuigd dat dit je zal helpen.
Hoe ontstaat osteoartritis van de enkels?
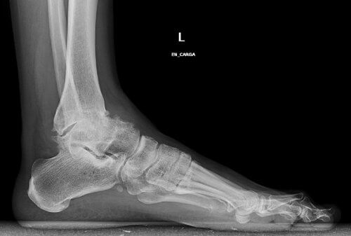
Toenemende slijtage van het kraakbeen in het enkelgewricht is de oorzaak van dit type osteoartritis. Als we ouder worden, is het heel normaal dat de enkels stijf worden en misvormingen zich ontwikkelen.
Ontdek ook:
Verlicht gewrichtspijn en rem ontstekingen af met deze lekkere zelfgemaakte smoothie
Klassieke botsporen kunnen ook optreden. Die maken de aandoening nog pijnlijker en beperken je nog meer in je bewegingen.

Meerdere oorzaken bevorderen het ontstaan van osteoartritis van de enkels:
- Verschillende verstuikingen in het verleden.
- Je bent een atleet.
- De aanwezigheid van cysten of een abnormale botgroei.
Andere oorzaken
Maar ook auto-immuunziekten zoals reumatoïde artritis en psoriasis leiden vaak tot de eerste symptomen van osteoartritis van de enkels.
- Traumatologen vermelden ook deze eigenaardige oorzaak: de misvorming van de enkel zelf. Mensen met platvoeten hebben soms meer kans om na verloop van tijd osteoartritis te ontwikkelen.
Tenslotte is er niet altijd een specifieke oorzaak voor osteoartritis van de enkels. Soms lijden we aan wat bekend staat als ‘primaire osteoartritis’. Deze aandoening raakt vooral oudere mensen.
Wat zijn de symptomen van osteoartritis van de enkels?
Het eerste teken dat er sprake is van slijtage in dit gewricht, is als je pijn ondervindt bij het lopen. In het begin merken we het pas op na een lange wandeling.
- Druk op de enkel en meer specifiek een scherpe pijn in de enkel treden op tijdens het lopen. Het dwingt ons om de enkel een paar minuten te laten rusten om de pijn te verlichten.
- In een later stadium zal de enkel opzwellen. Het zal zelfs moeilijk worden om bepaalde soorten schoeisel te dragen.
- Vele patiënten klagen ook over pijn ‘s nachts.
- We kunnen ook geleidelijk aan pijnlijke hielspoor ontwikkelen. We hebben het hier al over gehad. Dit is een gevolg van de toenemende misvorming van de enkel.
Behandeling van osteoartritis van de enkels

Injectie van het enkelgewricht
De meest voorkomende behandeling zijn articulaire inspuitingen. Die bevatten hyaluronzuur en corticosteroïden.
De inspuitingen verbeteren tijdelijk de beweeglijkheid van het gewricht. Dit komt omdat de componenten het gewricht ‘smeren’. Maar we beklemtonen nogmaals dat dit effect slechts tijdelijk is.
Speciale steunzolen
In deze gevallen is de opinie van een specialist fundamenteel. Hij zal de behandeling aanbevelen die het meest geschikt is om de symptomen te verhelpen.
- Het gebruik van corrigerende steunzolen is een andere veel voorkomende aanpak. Ze worden gebruikt om de misvorming van de voeten te ondersteunen en te corrigeren.
- Ze verminderen ook de kracht van de impact op de enkel tijdens het lopen. Tegelijkertijd verlichten ze de pijn.
- Tegenwoordig vind je ook meer gespecialiseerd schoeisel op de markt, met speciale steunzolen die de enkels ondersteunen.
Lees ook:
Oorzaken en behandelingen van hielspoor
Chirurgische ingreep
De traumatoloog kan aanraden om chirurgisch in te grijpen. Dan kunnen we kiezen om de ziekte te verlichten via een ingreep bekend als artroscopie. Deze ingreep is effectief in de beginfase van de aandoening. Het gewricht wordt gecorrigeerd tijdens een eenvoudige en gewoonlijk snelle operatie.
Anderzijds kan men kiezen voor een volledige enkelprothese. Dit zal men alleen doen in de ernstige gevallen waar de aftakeling van het gewricht al erg ver ontwikkeld is.
Hoe je de beweeglijkheid van het gewricht compleet kan terugwinnen, leggen we nu uit.
Hoe kan ik osteoartritis van de enkels voorkomen?

We mogen niet vergeten dat osteoartritis van de enkels ons kreupel kan maken. Probeer dus om het zoveel mogelijk te voorkomen. Wat we minstens kunnen doen, is de ontwikkeling vertragen.
Hoe kan je dit aanpakken?
- Doe bijvoorbeeld bewegingsoefeningen in het zwembad.
- Loop en wandel op vlakke oppervlakken waar er geen oneffenheden zijn.
- Zorg voor een gezond gewicht.
- Vermijd het heel vaak dragen van hoge hakken.
- Probeer om thuis dagelijks een paar uur blootsvoets te lopen. Lopen zonder schoenen is immers het minst gevaarlijk.
Raadpleeg een arts
Als besluit herinneren we je ook aan een belangrijk aspect: problemen van osteoartritis zijn meestal een genetisch probleem. Het is dus normaal dat we sommige symptomen van deze aandoening rond de leeftijd van vijfenvijftig jaar beginnen te merken.
Raadpleeg een traumatoloog en informeer je over de behandelingen. Hij zal je advies geven hoe je kan zorgen voor gezonde gewrichten en hoe je het risico op de ontwikkeling van osteoartritis van de enkels kan beperken.
Veel mensen klagen eerder over slijtage van de heup of de knieën, maar ook osteoartritis van de enkels is een veel voorkomende vorm, die verbonden is met degeneratieve aandoeningen.
Het enkelgewricht is erg belangrijk voor het lopen. Daarnaast heeft het een essentiële functie in de houding. Het zorgt er ook voor dat de as gevormd door de heup, de knieën en de voeten, in harmonie is.
Alle complexe structuren van het enkelgewricht zijn echter onderhevig aan verschillende factoren. Die kunnen vervolgens de delicate gezondheid en het uithoudingsvermogen van de enkels beïnvloeden.
Een nare aandoening
Osteoartritis is zonder twijfel een kwaal die een echte vloek kan betekenen voor de levenskwaliteit. In dit artikel vind je meer informatie over dit onderwerp. We zijn ervan overtuigd dat dit je zal helpen.
Hoe ontstaat osteoartritis van de enkels?
Toenemende slijtage van het kraakbeen in het enkelgewricht is de oorzaak van dit type osteoartritis. Als we ouder worden, is het heel normaal dat de enkels stijf worden en misvormingen zich ontwikkelen.
Ontdek ook:
Verlicht gewrichtspijn en rem ontstekingen af met deze lekkere zelfgemaakte smoothie
Klassieke botsporen kunnen ook optreden. Die maken de aandoening nog pijnlijker en beperken je nog meer in je bewegingen.

Meerdere oorzaken bevorderen het ontstaan van osteoartritis van de enkels:
- Verschillende verstuikingen in het verleden.
- Je bent een atleet.
- De aanwezigheid van cysten of een abnormale botgroei.
Andere oorzaken
Maar ook auto-immuunziekten zoals reumatoïde artritis en psoriasis leiden vaak tot de eerste symptomen van osteoartritis van de enkels.
- Traumatologen vermelden ook deze eigenaardige oorzaak: de misvorming van de enkel zelf. Mensen met platvoeten hebben soms meer kans om na verloop van tijd osteoartritis te ontwikkelen.
Tenslotte is er niet altijd een specifieke oorzaak voor osteoartritis van de enkels. Soms lijden we aan wat bekend staat als ‘primaire osteoartritis’. Deze aandoening raakt vooral oudere mensen.
Wat zijn de symptomen van osteoartritis van de enkels?
Het eerste teken dat er sprake is van slijtage in dit gewricht, is als je pijn ondervindt bij het lopen. In het begin merken we het pas op na een lange wandeling.
- Druk op de enkel en meer specifiek een scherpe pijn in de enkel treden op tijdens het lopen. Het dwingt ons om de enkel een paar minuten te laten rusten om de pijn te verlichten.
- In een later stadium zal de enkel opzwellen. Het zal zelfs moeilijk worden om bepaalde soorten schoeisel te dragen.
- Vele patiënten klagen ook over pijn ‘s nachts.
- We kunnen ook geleidelijk aan pijnlijke hielspoor ontwikkelen. We hebben het hier al over gehad. Dit is een gevolg van de toenemende misvorming van de enkel.
Behandeling van osteoartritis van de enkels

Injectie van het enkelgewricht
De meest voorkomende behandeling zijn articulaire inspuitingen. Die bevatten hyaluronzuur en corticosteroïden.
De inspuitingen verbeteren tijdelijk de beweeglijkheid van het gewricht. Dit komt omdat de componenten het gewricht ‘smeren’. Maar we beklemtonen nogmaals dat dit effect slechts tijdelijk is.
Speciale steunzolen
In deze gevallen is de opinie van een specialist fundamenteel. Hij zal de behandeling aanbevelen die het meest geschikt is om de symptomen te verhelpen.
- Het gebruik van corrigerende steunzolen is een andere veel voorkomende aanpak. Ze worden gebruikt om de misvorming van de voeten te ondersteunen en te corrigeren.
- Ze verminderen ook de kracht van de impact op de enkel tijdens het lopen. Tegelijkertijd verlichten ze de pijn.
- Tegenwoordig vind je ook meer gespecialiseerd schoeisel op de markt, met speciale steunzolen die de enkels ondersteunen.
Lees ook:
Oorzaken en behandelingen van hielspoor
Chirurgische ingreep
De traumatoloog kan aanraden om chirurgisch in te grijpen. Dan kunnen we kiezen om de ziekte te verlichten via een ingreep bekend als artroscopie. Deze ingreep is effectief in de beginfase van de aandoening. Het gewricht wordt gecorrigeerd tijdens een eenvoudige en gewoonlijk snelle operatie.
Anderzijds kan men kiezen voor een volledige enkelprothese. Dit zal men alleen doen in de ernstige gevallen waar de aftakeling van het gewricht al erg ver ontwikkeld is.
Hoe je de beweeglijkheid van het gewricht compleet kan terugwinnen, leggen we nu uit.
Hoe kan ik osteoartritis van de enkels voorkomen?

We mogen niet vergeten dat osteoartritis van de enkels ons kreupel kan maken. Probeer dus om het zoveel mogelijk te voorkomen. Wat we minstens kunnen doen, is de ontwikkeling vertragen.
Hoe kan je dit aanpakken?
- Doe bijvoorbeeld bewegingsoefeningen in het zwembad.
- Loop en wandel op vlakke oppervlakken waar er geen oneffenheden zijn.
- Zorg voor een gezond gewicht.
- Vermijd het heel vaak dragen van hoge hakken.
- Probeer om thuis dagelijks een paar uur blootsvoets te lopen. Lopen zonder schoenen is immers het minst gevaarlijk.
Raadpleeg een arts
Als besluit herinneren we je ook aan een belangrijk aspect: problemen van osteoartritis zijn meestal een genetisch probleem. Het is dus normaal dat we sommige symptomen van deze aandoening rond de leeftijd van vijfenvijftig jaar beginnen te merken.
Raadpleeg een traumatoloog en informeer je over de behandelingen. Hij zal je advies geven hoe je kan zorgen voor gezonde gewrichten en hoe je het risico op de ontwikkeling van osteoartritis van de enkels kan beperken.
Alle aangehaalde bronnen zijn grondig gecontroleerd door ons team om hun kwaliteit, betrouwbaarheid, actualiteit en geldigheid te waarborgen. De bibliografie van dit artikel werd beschouwd als betrouwbaar en wetenschappelijk nauwkeurig.
- Hintermann, B., & Ruiz, R. (2014). Artrosis de tobillo y su tratamiento con artroplastía total de tobillo. Revista Médica Clínica Las Condes. https://doi.org/10.1016/S0716-8640(14)70113-0
- Zadegan, F., Raould, A., & Hannouche, D. (2014). Fracturas maleolares del adulto y luxaciones del tobillo. EMC – Aparato Locomotor. https://doi.org/10.1016/S1286-935X(14)67554-7
- Giovanni Carcuro, U., Sergio Eckholt, G., & Rodrigo Millán, P. (2014). Opciones no protésicas en el tratamiento de la artrosis de tobillo. Revista Médica Clínica Las Condes. https://doi.org/10.1016/S0716-8640(14)70109-9
Deze tekst wordt alleen voor informatieve doeleinden aangeboden en vervangt niet het consult bij een professional. Bij twijfel, raadpleeg uw specialist.







