Onderzoeken om pericardiale effusie te bepalen

Pericardiale effusie is een aandoening waarbij er sprake is van een overmatige ophoping van vocht tussen het hart en het hartzakje. Dit laatste is een vlies dat om het hart heen zit als een soort zak. De vraag die we vandaag willen beantwoorden is welke onderzoeken we kunnen gebruiken om pericardiale effusie te detecteren.
Tussen het hart en het hartzakje zit altijd een dun laagje vloeistof. Als je echter een bepaalde aandoening of een verwonding hebt kan deze ontstoken raken. Dit verhoogt op zijn beurt de hoeveelheid vloeistof die zich ophoopt.
Desondanks kan er soms pericardiale effusie ontstaan zonder voorafgaande ontsteking. Er wordt geschat dat er sprake is van pericardiale effusie is wanneer de hoeveelheid opgehoopte vloeistof meer dan 50 ml is.
Pericardiale effusie drukt op het hart en beïnvloedt op die manier de werking van het hart. Indien deze aandoening onbehandeld blijft kan het hartfalen veroorzaken en uiteindelijk zelfs tot de dood leiden.
Lees dit artikel om meer te weten te komen over de analyses en onderzoeken die gedaan kunnen worden om pericardiale effusie te detecteren en wat de voor- en nadelen van deze technieken zijn.
Onderzoeken om een pericardiale effusie te bepalen
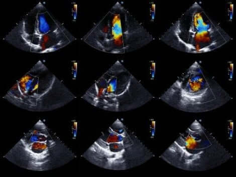
Echocardiogram

Een echocardiogram is de voorkeurstest om pericardiale effusie te detecteren. Het wordt ook wel een echocardiografie of een cardiale echografie genoemd. Met behulp van deze test kunnen artsen de structuur van het hart zien en het vermogen om bloed rond te pompen bestuderen.
Met het Doppler-echocardiogram kunnen artsen ook de exacte snelheid van de bloedstroom vanuit het hart bepalen. Het tweedimensionale echocardiogram in de M-modus is vanuit technisch oogpunt de ideale techniek voor het diagnosticeren, kwantificeren en bewaken van pericardiale effusie.
Artsen kunnen pericardiale effusie diagnosticeren door de afwezigheid van echo’s tussen het epicardium en het laterale pericardium. Vervolgens bepaalt de cardioloog de grootte van de effusie op basis van de hoeveelheid ruimte tussen de twee lagen van het pericardium.
Deze techniek is een van de meest aangewezen voor hartaandoeningen en de meest gebruikte methode om de opgehoopte vloeistof te kwantificeren. We moeten opmerken dat er in wezen twee soorten echocardiogrammen zijn.
- Er is de transthoracale echocardiogram, waarbij een apparaat op de borst wordt geplaatst, over het hart, en het geeft geluid.
- Daarnaast wordt soms de transesofageale echocardiogram gebruikt, waarbij het apparaat in het spijsverteringskanaal tot aan de slokdarm wordt ingebracht. Dit onderzoek levert meer gedetailleerde gegevens op, maar is ook belastender voor de patiënt.
Ontdek ook dit artikel:
Wat is een acuut coronair syndroom (ACS)?
Elektrocardiogram
Een elektrocardiogram registreert de elektrische activiteit van het hart. Het geeft artsen de mogelijkheid om het ritme en de hartfunctie te beoordelen. Pericardiale effusie veroorzaakt bepaalde veranderingen in de grafiek die een ECG, maar ze zijn niet specifiek.
Artsen kunnen bepaalde afwijkingen in het QRS-complex zien. Dit is een vector die de som weergeeft van alle elektrische ontladingen die optreden in de cellen van de ventrikels. Over het algemeen kunnen artsen bij pericardiale effusie een vermindering van de QRS-spanning zien.
Daarnaast kunnen ze bij deze variant van de onderzoeken om pericardiale effusie te bepalen een afvlakking van de T-golven waarnemen. Als de effusie zeer ernstig is en er is sprake van een verstopping, kunnen ze een elektrische verandering waarnemen. Meestal lijkt de P-golf breed en bimodaal, wat duidt op een afwijking van de werking van het hart.
Ook interessant om te lezen:
6 soorten hartaandoeningen en de symptomen
Andere onderzoeken om pericardiale effusie te bepalen
Röntgenfoto van de borstkas
Op een röntgenfoto kunnen artsen alle organen in de borstkas zien. Hierbij kunnen zij dus ook zien of er sprake is van een vochtophoping om het hart. Daarnaast kunnen ze de hartspier goed bekijken.
CAT-scan
Computerde axiale tomografie, of een CAT-scan, is een onderzoek waarbij ook röntgenfoto’s gebruikt worden. Artsen kunnen op die manier beelden van het hart verkrijgen in de vorm van doorsneden van het hart of een driedimensionale afbeelding.
MRI

Een Magnetische Resonantiebeeldvorming (MRI) is een onderzoek waarbij artsen gedetailleerde beelden krijgen van het inwendige van het lichaam. Dit kan zowel twee- als driedimensionaal. Het geeft veel meer specifieke informatie dan de beelden van de röntgenfoto of de CAT-scan.
Hoewel je met een röntgenfoto structurele veranderingen in het hart kunt zien, geeft een MRI de beste resultaten.
Al de hierboven genoemde onderzoeken kunnen deze afwijking detecteren. Alleen met meer dan 50 ml kun je echter praten over pericardiale effusie. Wanneer er sprake van pericardiale effusie is, is er een verandering in het hartsilhouet. Het hartsilhouet wijkt meer af wanneer er meer dan 250 ml vloeistof zich ophoopt in de pericardiale zak.
Op een röntgenfoto van de borst bijvoorbeeld niet altijd het vergrote silhouet zien, zelfs niet als de afwijking aanwezig is. CAT-scans en MRI’s zijn veel nauwkeuriger.
Kwantificering van pericardiale effusie
Er zijn geen algemeen aanvaarde criteria voor het kwantificeren van het volume van de pericardiale effusie. Dit komt omdat alle methoden beperkingen hebben bij het bepalen van de werkelijke hoeveelheid vloeistof in de pericardiale zak.
De meest geaccepteerde techniek voor kwantificering is de methode voorgesteld door Weitzman. Het is gebaseerd op echocardiografie in de M-modus. Het stelt voor om de echovrije ruimtes in de voorste en achterste zakjes aan het einde van de diastole toe te voegen. Er zijn drie categorieën:
- lichte uitstroming als de som 10 mm of minder is.
- matige uitstroming tussen 10 en 19 mm.
- ernstig wanneer de uitstroming 20 mm of meer is.
Het is belangrijk om de aanwezigheid van harttumoren en pericardiale cysten uit te sluiten voordat de diagnose wordt gesteld. Daarnaast moeten artsen controleren of er geen pleurale effusie of sprake van epicardiaal vet is.
Pericardiale effusie is een aandoening waarbij er sprake is van een overmatige ophoping van vocht tussen het hart en het hartzakje. Dit laatste is een vlies dat om het hart heen zit als een soort zak. De vraag die we vandaag willen beantwoorden is welke onderzoeken we kunnen gebruiken om pericardiale effusie te detecteren.
Tussen het hart en het hartzakje zit altijd een dun laagje vloeistof. Als je echter een bepaalde aandoening of een verwonding hebt kan deze ontstoken raken. Dit verhoogt op zijn beurt de hoeveelheid vloeistof die zich ophoopt.
Desondanks kan er soms pericardiale effusie ontstaan zonder voorafgaande ontsteking. Er wordt geschat dat er sprake is van pericardiale effusie is wanneer de hoeveelheid opgehoopte vloeistof meer dan 50 ml is.
Pericardiale effusie drukt op het hart en beïnvloedt op die manier de werking van het hart. Indien deze aandoening onbehandeld blijft kan het hartfalen veroorzaken en uiteindelijk zelfs tot de dood leiden.
Lees dit artikel om meer te weten te komen over de analyses en onderzoeken die gedaan kunnen worden om pericardiale effusie te detecteren en wat de voor- en nadelen van deze technieken zijn.
Onderzoeken om een pericardiale effusie te bepalen
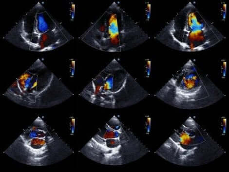
Echocardiogram

Een echocardiogram is de voorkeurstest om pericardiale effusie te detecteren. Het wordt ook wel een echocardiografie of een cardiale echografie genoemd. Met behulp van deze test kunnen artsen de structuur van het hart zien en het vermogen om bloed rond te pompen bestuderen.
Met het Doppler-echocardiogram kunnen artsen ook de exacte snelheid van de bloedstroom vanuit het hart bepalen. Het tweedimensionale echocardiogram in de M-modus is vanuit technisch oogpunt de ideale techniek voor het diagnosticeren, kwantificeren en bewaken van pericardiale effusie.
Artsen kunnen pericardiale effusie diagnosticeren door de afwezigheid van echo’s tussen het epicardium en het laterale pericardium. Vervolgens bepaalt de cardioloog de grootte van de effusie op basis van de hoeveelheid ruimte tussen de twee lagen van het pericardium.
Deze techniek is een van de meest aangewezen voor hartaandoeningen en de meest gebruikte methode om de opgehoopte vloeistof te kwantificeren. We moeten opmerken dat er in wezen twee soorten echocardiogrammen zijn.
- Er is de transthoracale echocardiogram, waarbij een apparaat op de borst wordt geplaatst, over het hart, en het geeft geluid.
- Daarnaast wordt soms de transesofageale echocardiogram gebruikt, waarbij het apparaat in het spijsverteringskanaal tot aan de slokdarm wordt ingebracht. Dit onderzoek levert meer gedetailleerde gegevens op, maar is ook belastender voor de patiënt.
Ontdek ook dit artikel:
Wat is een acuut coronair syndroom (ACS)?
Elektrocardiogram
Een elektrocardiogram registreert de elektrische activiteit van het hart. Het geeft artsen de mogelijkheid om het ritme en de hartfunctie te beoordelen. Pericardiale effusie veroorzaakt bepaalde veranderingen in de grafiek die een ECG, maar ze zijn niet specifiek.
Artsen kunnen bepaalde afwijkingen in het QRS-complex zien. Dit is een vector die de som weergeeft van alle elektrische ontladingen die optreden in de cellen van de ventrikels. Over het algemeen kunnen artsen bij pericardiale effusie een vermindering van de QRS-spanning zien.
Daarnaast kunnen ze bij deze variant van de onderzoeken om pericardiale effusie te bepalen een afvlakking van de T-golven waarnemen. Als de effusie zeer ernstig is en er is sprake van een verstopping, kunnen ze een elektrische verandering waarnemen. Meestal lijkt de P-golf breed en bimodaal, wat duidt op een afwijking van de werking van het hart.
Ook interessant om te lezen:
6 soorten hartaandoeningen en de symptomen
Andere onderzoeken om pericardiale effusie te bepalen
Röntgenfoto van de borstkas
Op een röntgenfoto kunnen artsen alle organen in de borstkas zien. Hierbij kunnen zij dus ook zien of er sprake is van een vochtophoping om het hart. Daarnaast kunnen ze de hartspier goed bekijken.
CAT-scan
Computerde axiale tomografie, of een CAT-scan, is een onderzoek waarbij ook röntgenfoto’s gebruikt worden. Artsen kunnen op die manier beelden van het hart verkrijgen in de vorm van doorsneden van het hart of een driedimensionale afbeelding.
MRI

Een Magnetische Resonantiebeeldvorming (MRI) is een onderzoek waarbij artsen gedetailleerde beelden krijgen van het inwendige van het lichaam. Dit kan zowel twee- als driedimensionaal. Het geeft veel meer specifieke informatie dan de beelden van de röntgenfoto of de CAT-scan.
Hoewel je met een röntgenfoto structurele veranderingen in het hart kunt zien, geeft een MRI de beste resultaten.
Al de hierboven genoemde onderzoeken kunnen deze afwijking detecteren. Alleen met meer dan 50 ml kun je echter praten over pericardiale effusie. Wanneer er sprake van pericardiale effusie is, is er een verandering in het hartsilhouet. Het hartsilhouet wijkt meer af wanneer er meer dan 250 ml vloeistof zich ophoopt in de pericardiale zak.
Op een röntgenfoto van de borst bijvoorbeeld niet altijd het vergrote silhouet zien, zelfs niet als de afwijking aanwezig is. CAT-scans en MRI’s zijn veel nauwkeuriger.
Kwantificering van pericardiale effusie
Er zijn geen algemeen aanvaarde criteria voor het kwantificeren van het volume van de pericardiale effusie. Dit komt omdat alle methoden beperkingen hebben bij het bepalen van de werkelijke hoeveelheid vloeistof in de pericardiale zak.
De meest geaccepteerde techniek voor kwantificering is de methode voorgesteld door Weitzman. Het is gebaseerd op echocardiografie in de M-modus. Het stelt voor om de echovrije ruimtes in de voorste en achterste zakjes aan het einde van de diastole toe te voegen. Er zijn drie categorieën:
- lichte uitstroming als de som 10 mm of minder is.
- matige uitstroming tussen 10 en 19 mm.
- ernstig wanneer de uitstroming 20 mm of meer is.
Het is belangrijk om de aanwezigheid van harttumoren en pericardiale cysten uit te sluiten voordat de diagnose wordt gesteld. Daarnaast moeten artsen controleren of er geen pleurale effusie of sprake van epicardiaal vet is.
Alle aangehaalde bronnen zijn grondig gecontroleerd door ons team om hun kwaliteit, betrouwbaarheid, actualiteit en geldigheid te waarborgen. De bibliografie van dit artikel werd beschouwd als betrouwbaar en wetenschappelijk nauwkeurig.
- Martín-García, A. C., Peláez, E. D., Martín-García, A., & Sánchez, P. L. (2017). Derrame pericárdico. Taponamiento cardíaco. Medicine-Programa de Formación Médica Continuada Acreditado, 12(44), 2621-2628.
- Sociedad Española de Imagen Cardíaca. Complejo QRS. https://ecocardio.com/documentos/biblioteca-preguntas-basicas/preguntas-al-cardiologo/1046-complejo-qrs.html
- MedlinePlus. Ecocardiografía. https://medlineplus.gov/spanish/ency/article/003869.htm
- MedlinePlus. Trastornos del pericardio. https://medlineplus.gov/spanish/pericardialdisorders.html
- MedlinePlus. Electrocardiograma.https://medlineplus.gov/spanish/pruebas-de-laboratorio/electrocardiograma/
- National Heart, Lung and Blood Institute. Radiografía de tórax. https://www.nhlbi.nih.gov/health-topics/espanol/radiografia-de-torax
Deze tekst wordt alleen voor informatieve doeleinden aangeboden en vervangt niet het consult bij een professional. Bij twijfel, raadpleeg uw specialist.







