Oorzaken van zweertjes in de mond en behandelingen

Je kent misschien de oorzaken van zweertjes in de mond niet, maar je hebt ze vast wel eens gehad. Mensen kunnen ze ook wel ‘aften’ noemen. Deze laesies verschijnen op het weefsel dat de mondholte bekleedt, zoals op de wangen en lippen en op het tandvlees.
Zweertjes in de mond komen vaak voor en zijn ongemakkelijk en verhogen de gevoeligheid voor veel soorten voedsel. Zo kan het drinken van sinaasappelsap of warme dranken behoorlijk pijnlijk zijn.
De locatie, vorm en oorzaken van deze laesies variëren sterk. Ze kunnen zelfs veroorzaakt worden door zoiets eenvoudigs als een beet op de wang of een symptoom van een ingewikkelder systemisch proces. Ze kunnen zelfs het eerste teken van een infectie zijn.
In het artikel van vandaag worden de belangrijkste oorzaken van zweertjes in de mond uitgelegd. We zullen ook over de basismaatregelen praten om ze te behandelen en zo snel mogelijk te genezen.
Oorzaken van zweertjes in de mond

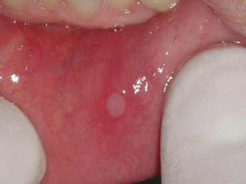
Deze laesies bestaan meestal uit een enkele ronde, witachtige laesie omgeven door een ontstoken gebied. Ze zijn zelden groter dan 8 millimeter. Er is bovendien vaak meer dan één zweer en deze zijn meestal kleiner dan 3 millimeter. Er zijn ook gevallen waarin deze laesies groter zijn en genezing complexer is.
Deze verschillen in grootte en aantal liggen vooral in de oorzaak. Zoals we al hebben vermeld, is het bijvoorbeeld normaal om een enkele wond te hebben als gevolg van een kleine beet. Andere veelvoorkomende oorzaken zijn onder andere:
- Elke behandeling bij de tandarts, vooral het gebruik van orthodontie en beugels.
- Het herpesvirus wordt vaak met meerdere kleine zweertjes in de mond geassocieerd.
- Die als gevolg van stress en hormonale veranderingen komen vaker voor bij vrouwen, omdat hun hormonale verandering intenser is.
- Roken kan als gevolg van een brandwond zweertjes in de mond veroorzaken of zelfs door de giftige additieven die industriële sigaretten bevatten.
- Veel medicijnen kunnen ze veroorzaken, vooral diegene die voor chemotherapie en radiotherapie tegen bepaalde vormen van kanker worden gebruikt.
Lees ook:
5 manieren om aften snel te genezen
Systemische oorzaken
Naast de bovengenoemde oorzaken zijn er tal van ziekten die tot zweertjes in de mond kunnen leiden. Laten we allereerst benadrukken dat elk voedingstekort ze kan veroorzaken. Een gebrek aan ijzer of vitamines bijvoorbeeld.
Een andere oorzaak kan de ziekte van Behçet zijn (Spaanse link), waarvan het belangrijkste kenmerk de ontsteking van de bloedvaten is. Dit komt omdat het schade aan verschillende lichaamsorganen veroorzaakt en zich ook via wonden in de mond manifesteert.
Het is bovendien gebruikelijk dat degenen die inflammatoire darmaandoeningen ervaren, deze laesies ook in hun mond tegenkomen. Hetzelfde gebeurt met coeliakie. Elke pathologie die wonden en blaren op de huid veroorzaakt, zoals pemphigus, kan de boosdoener zijn.
Hoe worden zweertjes in de mond behandeld?

Zoals je kunt zien, zijn de meeste wonden goedaardig. Dit betekent dat ze vanzelf verdwijnen en meestal geen behandeling nodig hebben. Je moet echter de oorzaak onderzoeken als ze de neiging hebben om terug te komen en er geen duidelijke oorzaken zijn, zoals trauma.
Hoewel het waar is dat er geen reden is om ze te behandelen, bevorderen en versnellen bepaalde producten de genezing. Hyaluronzuur is er een voorbeeld van, die wordt in crèmes en zalven op de markt gebracht. Een aantal soorten voedsel kunnen bovendien de wond verder irriteren, dus vermijd ze.
De zweertjes in de mond kunnen ook het gevolg van een infectie zijn, dus in dit geval moet je ze behandelen. Hetzelfde geldt voor laesies die een bijwerking van medicijnen zijn. Je moet in dat geval van geneesmiddel veranderen.
Je kunt mondspoelingen met verdovingsmiddelen zoals lidocaïne gebruiken als het ongemak te intens is. Degenen die corticosteroïden bevatten, kunnen ontstekingen verminderen.
Raadpleeg een arts als de zweertjes in de mond te hinderlijk zijn of vaak voorkomen. Dit is omdat ze een symptoom van een tekort van een voedingsstof of ziekte kunnen zijn die aandacht vereist.
Je kent misschien de oorzaken van zweertjes in de mond niet, maar je hebt ze vast wel eens gehad. Mensen kunnen ze ook wel ‘aften’ noemen. Deze laesies verschijnen op het weefsel dat de mondholte bekleedt, zoals op de wangen en lippen en op het tandvlees.
Zweertjes in de mond komen vaak voor en zijn ongemakkelijk en verhogen de gevoeligheid voor veel soorten voedsel. Zo kan het drinken van sinaasappelsap of warme dranken behoorlijk pijnlijk zijn.
De locatie, vorm en oorzaken van deze laesies variëren sterk. Ze kunnen zelfs veroorzaakt worden door zoiets eenvoudigs als een beet op de wang of een symptoom van een ingewikkelder systemisch proces. Ze kunnen zelfs het eerste teken van een infectie zijn.
In het artikel van vandaag worden de belangrijkste oorzaken van zweertjes in de mond uitgelegd. We zullen ook over de basismaatregelen praten om ze te behandelen en zo snel mogelijk te genezen.
Oorzaken van zweertjes in de mond

Deze laesies bestaan meestal uit een enkele ronde, witachtige laesie omgeven door een ontstoken gebied. Ze zijn zelden groter dan 8 millimeter. Er is bovendien vaak meer dan één zweer en deze zijn meestal kleiner dan 3 millimeter. Er zijn ook gevallen waarin deze laesies groter zijn en genezing complexer is.
Deze verschillen in grootte en aantal liggen vooral in de oorzaak. Zoals we al hebben vermeld, is het bijvoorbeeld normaal om een enkele wond te hebben als gevolg van een kleine beet. Andere veelvoorkomende oorzaken zijn onder andere:
- Elke behandeling bij de tandarts, vooral het gebruik van orthodontie en beugels.
- Het herpesvirus wordt vaak met meerdere kleine zweertjes in de mond geassocieerd.
- Die als gevolg van stress en hormonale veranderingen komen vaker voor bij vrouwen, omdat hun hormonale verandering intenser is.
- Roken kan als gevolg van een brandwond zweertjes in de mond veroorzaken of zelfs door de giftige additieven die industriële sigaretten bevatten.
- Veel medicijnen kunnen ze veroorzaken, vooral diegene die voor chemotherapie en radiotherapie tegen bepaalde vormen van kanker worden gebruikt.
Lees ook:
5 manieren om aften snel te genezen
Systemische oorzaken
Naast de bovengenoemde oorzaken zijn er tal van ziekten die tot zweertjes in de mond kunnen leiden. Laten we allereerst benadrukken dat elk voedingstekort ze kan veroorzaken. Een gebrek aan ijzer of vitamines bijvoorbeeld.
Een andere oorzaak kan de ziekte van Behçet zijn (Spaanse link), waarvan het belangrijkste kenmerk de ontsteking van de bloedvaten is. Dit komt omdat het schade aan verschillende lichaamsorganen veroorzaakt en zich ook via wonden in de mond manifesteert.
Het is bovendien gebruikelijk dat degenen die inflammatoire darmaandoeningen ervaren, deze laesies ook in hun mond tegenkomen. Hetzelfde gebeurt met coeliakie. Elke pathologie die wonden en blaren op de huid veroorzaakt, zoals pemphigus, kan de boosdoener zijn.
Hoe worden zweertjes in de mond behandeld?

Zoals je kunt zien, zijn de meeste wonden goedaardig. Dit betekent dat ze vanzelf verdwijnen en meestal geen behandeling nodig hebben. Je moet echter de oorzaak onderzoeken als ze de neiging hebben om terug te komen en er geen duidelijke oorzaken zijn, zoals trauma.
Hoewel het waar is dat er geen reden is om ze te behandelen, bevorderen en versnellen bepaalde producten de genezing. Hyaluronzuur is er een voorbeeld van, die wordt in crèmes en zalven op de markt gebracht. Een aantal soorten voedsel kunnen bovendien de wond verder irriteren, dus vermijd ze.
De zweertjes in de mond kunnen ook het gevolg van een infectie zijn, dus in dit geval moet je ze behandelen. Hetzelfde geldt voor laesies die een bijwerking van medicijnen zijn. Je moet in dat geval van geneesmiddel veranderen.
Je kunt mondspoelingen met verdovingsmiddelen zoals lidocaïne gebruiken als het ongemak te intens is. Degenen die corticosteroïden bevatten, kunnen ontstekingen verminderen.
Raadpleeg een arts als de zweertjes in de mond te hinderlijk zijn of vaak voorkomen. Dit is omdat ze een symptoom van een tekort van een voedingsstof of ziekte kunnen zijn die aandacht vereist.
Alle aangehaalde bronnen zijn grondig gecontroleerd door ons team om hun kwaliteit, betrouwbaarheid, actualiteit en geldigheid te waarborgen. De bibliografie van dit artikel werd beschouwd als betrouwbaar en wetenschappelijk nauwkeurig.
- ¿Llagas en la boca? Te decimos cómo curarlas | Ferrus&Bratos. (n.d.). Retrieved January 4, 2020, from https://www.clinicaferrusbratos.com/odontologia-general/llagas-boca-por-que-salen-y-como-curarlas/
- Llagas en la boca. (n.d.). Retrieved January 4, 2020, from https://www.cancer.org/es/tratamiento/tratamientos-y-efectos-secundarios/efectos-secundarios-fisicos/problemas-de-la-boca/llagas-en-la-boca.html
- Llagas e inflamación en la boca – Trastornos bucales y dentales – Manual MSD versión para público general. (n.d.). Retrieved January 4, 2020, from https://www.msdmanuals.com/es-es/hogar/trastornos-bucales-y-dentales/síntomas-de-los-trastornos-orales-y-dentales/llagas-e-inflamación-en-la-boca
Deze tekst wordt alleen voor informatieve doeleinden aangeboden en vervangt niet het consult bij een professional. Bij twijfel, raadpleeg uw specialist.







