7 meestvoorkomende mondziekten en hun behandeling


Geschreven en geverifieerd door de tandarts Vanesa Evangelina Buffa
Het is gebruikelijk om naar de tandarts te gaan vanwege een dringende noodzaak, zoals kiespijn, een gebroken tand, of gewoon omdat we willen weten wat er in onze mond gebeurt! Hoewel veelvoorkomende mondziekten te voorkomen zijn, moeten mensen uiteindelijk toch vaak naar de tandarts om ze te laten verhelpen.
Volgens de Global Burden of Disease Study 2019 treffen mondziekten wereldwijd ongeveer 3,5 miljard mensen. Onbehandelde cariës in het volwassen gebit is de meestvoorkomende gezondheidsaandoening.
Mondziekten veroorzaken pijn en ongemak bij de patiënt. De ernstigste kunnen leiden tot misvormingen in het gezicht en uiteindelijk zelfs tot de dood.
Behandelingen
Verschillende van deze aandoeningen kunnen met eenvoudige zorg worden voorkomen of in een vroeg stadium worden behandeld. Sommige mensen stellen hun mondgezondheid echter uit, en de processen verergeren en er zijn invasievere, complexere en duurdere behandelingen nodig.
Als je weet wat de meestvoorkomende mondziekten zijn , kun je je richten op de factoren die de ontwikkeling ervan bevorderen, om ze te voorkomen of actie te ondernemen om de voortgang ervan te voorkomen. Ontdek hier de meestvoorkomende mondgezondheidsproblemen en hun behandeling.
Wellicht ben je ook geïnteresseerd in dit artikel:
Bacteriën die gaatjes veroorzaken
De 7 meestvoorkomende mondziekten
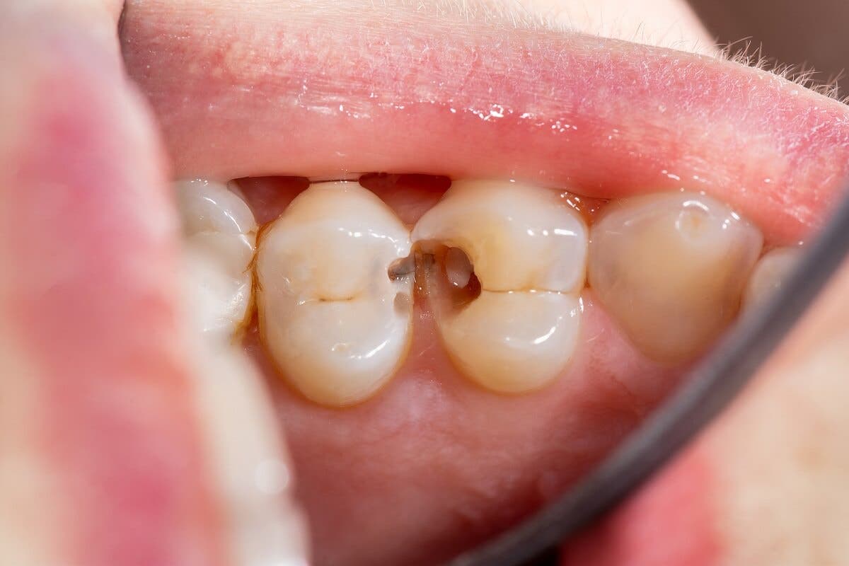
1. Tandbederf

Tandbederf is de meestvoorkomende mondziekte. Het treft mensen over de hele wereld, ongeacht geslacht en leeftijd.
Volgens de Global Burden of Disease Study 2019 is tandbederf in het blijvende gebit de meestvoorkomende mondaandoening. Ongeveer 2 miljard mensen lijden eraan en 520 miljoen kinderen lijden aan de ziekte in melktanden.
Tandbederf is de aantasting van de harde weefsels van de tanden. Ze verliezen hun mineralen door de werking van zuren die bacteriën in de mond produceren bij het metaboliseren van suikers in de voeding.
Slechte mondhygiëne en een dieet rijk aan eenvoudige koolhydraten zijn de belangrijkste factoren die in verband worden gebracht met het ontstaan van deze ziekte. Als er veel bacteriën in de mond zijn en ze genoeg suiker hebben om zich te vermenigvuldigen en steeds meer op te hopen, zal de zuurgraad in de mond de tanden beschadigen.
In het begin van de ziekte ziet tandbederf eruit als een droge witte vlek op het oppervlak van het tandglazuur. Naarmate het proces voortschrijdt, worden de vlekken donkerder, breekt het weefsel af, en ontstaan er gaten en holtes in de tanden.
Als holtes niet tijdig worden behandeld, kan de vernietiging de tandpulpa aantasten. Dit veroorzaakt pijn en infecties die de situatie verergeren en complexere behandelingen vereisen om ze op te lossen.
In een vroeg stadium kan tandbederf worden tegengegaan met fluoridetherapieën. Als er echter weefselverlies optreedt, zijn, afhankelijk van de omvang van het letsel en de ernst van het geval, vullingen, wortelkanalen of zelfs extractie van de tanden nodig.
Met gezonde gewoonten kan tandbederf worden voorkomen. Elke dag een goede mondhygiëne toepassen, fluoridetandpasta gebruiken, een suikerarm dieet eten en elke zes maanden de tandarts bezoeken zijn effectieve manieren om deze ziekte te voorkomen.
2. Parodontale problemen
Een andere van de meestvoorkomende mondziekten zijn die welke het parodontium aantasten: gingivitis en parodontitis. Deze aandoeningen komen vaker voor bij volwassenen, maar kunnen zich ook ontwikkelen bij kinderen en adolescenten.
Volgens de Wereldgezondheidsorganisatie (WHO) worden ernstige parodontale aandoeningen geschat op bijna 14% van de volwassenen (Spaanse link). Dit komt overeen met meer dan 1 miljard gevallen wereldwijd.
Gingivitis
Gingivitis is de ontsteking van het tandvlees en het begin van parodontale problemen. Het gebrek aan mondhygiëne veroorzaakt de ophoping van bacteriële plaque en tandsteen die het tandvleesweefsel irriteren. Hoewel er ook andere factoren zijn die het beeld bevorderen, zoals hormonale veranderingen en zwangerschap, roken, of de aanwezigheid van sommige systeemziekten.
Gingivitis is te herkennen doordat het tandvleesweefsel een intens rode kleur heeft, opzwelt, gemakkelijk bloedt en pijn doet. Bloed uitspugen bij het tandenpoetsen is een van de meestvoorkomende verschijnselen van deze aandoening en een niet te missen waarschuwing.
De behandeling bestaat uit grondige mondhygiëne thuis, inclusief tandenpoetsen en tandvlees poetsen, flossen, fluoridetandpasta’s en antiseptische mondspoelingen. Ook zijn professionele reinigingen bij de tandarts nodig om tandsteenaanslag te verwijderen.
Parodontitis
Parodontitis is ook bekend als “parodontitis” of “pyorroe.” Het is wat er gebeurt als tandvleesontsteking niet is behandeld en is voortgeschreden en diepere weefsels heeft bereikt.
Bacteriën uit tandplak en tandsteen bereiken de diepste delen van het tandvlees, waardoor pockets ontstaan waar ze zich ophopen en woekeren. Dit leidt tot infectie en ontsteking van de weefsels die de tanden ondersteunen.
Parodontitis tast het tandvlees, de tandwortels, het parodontale ligament en het alveolaire bot aan. Deze structuren zijn verantwoordelijk voor het op zijn plaats houden van de tanden.
Bij parodontitis zijn de ondersteunende weefsels beschadigd en wordt het bot vernietigd. Hierdoor verliezen de tanden hun steun en is het heel gewoon dat ze gaan bewegen of, in de meest gevorderde gevallen, zelfs naar buiten komen.
Beweeglijkheid van de tanden is een van de kenmerkende symptomen van parodontitis. Daarnaast zal de patiënt last hebben van tandvleesontsteking of recessie, ongemak aan de tanden, slechte adem, pus, bloedingen en pijn in het tandvlees.
Parodontitis is een aandoening die behandeld moet worden zodra het wordt vastgesteld, zodat het zich niet verder ontwikkelt. Niet alleen omdat het je zonder tanden kan laten zitten, maar ook omdat deze aandoening samenhangt met systemische aandoeningen (Engelse link). Diabetes, hartziekten, en ademhalings- en neurologische ziekten zijn enkele voorbeelden.
De behandeling van parodontitis vereist de tussenkomst van de tandarts. Afhankelijk van de ernst van de aandoening en de omvang van de schade zal de professional reiniging, scaling, rootplaning en parodontale chirurgie uitvoeren, aangevuld met het gebruik van lokale antiseptica en antibiotica.
3. Aften
Aften zijn zweren die ontstaan op het mondslijmvlies en pijn en ongemak in de mond veroorzaken. De oorzaken zijn niet helemaal duidelijk, maar verschillende factoren bevorderen het ontstaan ervan: stress, hormonale veranderingen, immuunproblemen, trauma, voedselovergevoeligheid en sommige mondinfecties.
Kenmerkend voor aften zijn de ronde, witachtige laesies met rode randen. Ze doen pijn bij aanraking of bij het eten van zeer zout of pittig voedsel. Aften ontstaan vooral op de wangen, lippen, of zijkanten, en onderkant van de tong. Ze komen ook voor op de achterkant van het monddak en het tandvlees.
Aften zijn niet besmettelijk. Deze laesies genezen meestal vanzelf binnen 10 tot 14 dagen. Dit betekent dat er geen behandeling nodig is, hoewel sommige symptoomverlichtende maatregelen het proces kunnen verlichten.
- Een zacht en koel dieet, het vermijden van pittig, zuur en zout voedsel, en het aanbrengen van wat plaatselijke pijnstillers kunnen de vervelende symptomen verzachten.
- Als de laesies na 2 weken aanhouden, is het belangrijk om de tandarts te raadplegen om andere problemen uit te sluiten.
4. Orale infecties
Bacteriën, schimmels en virussen kunnen de mondweefsels aantasten en infecties veroorzaken met uitingen in de mond. We hebben je al verteld over cariës, gingivitis en parodontitis, ziektebeelden veroorzaakt door bacteriën in de mond.
Tand- en parodontale abcessen zijn verzamelingen pus, het product van infecties in de tanden en het tandvlees die niet behandeld zijn. Deze processen veroorzaken pijn en zwelling in het gebied. Bovendien bestaat het risico dat de aandoening zich uitbreidt naar andere verafgelegen gebieden.
Het is belangrijk dat tandabcessen worden behandeld zodra ze worden ontdekt. Het gebruik van antibiotica is noodzakelijk, naast het elimineren van de infectieuze focus door middel van wortelkanalen, extracties, curettage of parodontale chirurgie.
Maar niet alleen de bacteriën die de tanden en het parodontium aanvallen zijn verantwoordelijk voor infecties in de mond. Hieronder bespreken we andere veelvoorkomende mondziekten die door ziektekiemen kunnen ontstaan.
Candidiasis
Candidiasis of spruw is een veelvoorkomende infectie van het mondslijmvlies, vooral bij kinderen en ouderen. Het wordt veroorzaakt door Candida albicans, een schimmel die meestal in de mond aanwezig is.
Als zich bepaalde gunstige omstandigheden voordoen, groeit dit micro-organisme overmatig. Dit verstoort het evenwicht van het orale ecosysteem en er ontstaat mycose.
Overdreven mondhygiëne, overmatig of veelvuldig gebruik van antibiotica, sommige medische behandelingen of bepaalde systemische ziekten bevorderen het ontstaan ervan. Deze infectie is een van de belangrijkste mondmanifestaties bij HIV-patiënten.
Spruw wordt gekenmerkt door het verschijnen van kleine witte vlekjes die lijken op gestolde melk en niet loslaten als je ze met een gaasje probeert te verwijderen. Ze komen voor op de hoeken van de lippen, tong, wangen, gehemelte en andere delen van de mond. De arts zal de aandoening behandelen met lokale of systemische schimmelwerende middelen, afhankelijk van het geval.
Hand-, voet- en mondziekte
Hand-, voet- en mondziekte is een infectie die wordt veroorzaakt door coxsackievirus A16 en enterovirus 71. De aandoening tast niet alleen de mond aan, zoals de naam doet vermoeden, maar manifesteert zich ook in de handen en voeten.
Er verschijnen pijnlijke blaren op de wangen en tong, handpalmen, voetzolen en billen. Bovendien gaat het proces gepaard met keelpijn en koorts.
Deze pathologie is typisch voor jonge kinderen en schoolgaande kinderen. Het is erg ongemakkelijk, maar heeft de neiging om na 3 tot 5 dagen te verdwijnen.
Herpangina
Herpangina is een andere veelvoorkomende mondziekte die wordt veroorzaakt door coxsackievirus A en enterovirussen. Het treft meestal kinderen van 3 tot 10 jaar, tijdens het zomer- en herfstseizoen.
Aan het begin van de infectie verschijnen kleine rode vlekjes achter in de mond. Ze vullen zich met vocht en veranderen in blaasjes die openbarsten, waardoor kleine zweertjes achterblijven.
De zweertjes zijn erg klein, 2 tot 4 millimeter, en zijn erg pijnlijk. Het ongemak dat ze veroorzaken leidt ertoe dat het kind voedsel en water weigert.
Ze zitten meestal op het zachte gehemelte, de amandelen en de keel. De symptomen gaan meestal gepaard met klachten zoals keelpijn, moeite met slikken en koorts.
De zweertjes verdwijnen meestal vanzelf na 5 tot 10 dagen. Gedurende het hele proces is het belangrijk om het kind gehydrateerd te houden. Het gebruik van pijnstillers is mogelijk.
Lees ook alles over:
Waar zijn tanden van gemaakt?
Koortslip

Infecties met het herpesvirus zijn een ander vrij veel voorkomend mondprobleem. De verschijnselen kunnen veranderen afhankelijk van de leeftijd van de patiënt.
De eerste infectie van kinderen met het herpesvirus treedt meestal op tussen 0 en 3 jaar oud en staat bekend als gingivostomatitis herpeticum. Kenmerkend zijn het gezwollen en bloedend tandvlees en het ontstaan van kleine blaasjes en pijnlijke zweertjes in de hele mond.
Daarnaast heeft het kind meestal koorts, overmatig kwijlen, weigert het hydratatie en is het kieskeurig en moe. Het proces duurt ongeveer een week en verdwijnt vanzelf zonder behandeling. De kinderarts kan echter pijnstillers en thuiszorgmaatregelen voorschrijven om het kind te kalmeren.
Oorzaken van een koortslip
Een terugkerende koortslip is een andere variant van een orale infectie met het herpes simplex virus type I. Als iemand eenmaal besmet is met deze kiem, blijft deze voor altijd latent aanwezig in het lichaam.
Wanneer het geconfronteerd wordt met situaties die de afweer verminderen, vindt het virus een geschikt scenario om tevoorschijn te komen en symptomen te produceren. Het eten van bepaald voedsel, blootstelling aan de zon of extreme kou, verkoudheid, stress of trauma zijn enkele factoren die predisponeren voor het optreden van de aandoening.
Orale herpes veroorzaakt kleine met vloeistof gevulde blaasjes in de mond of op de huid van de lippen. Ze jeuken of doen pijn en als ze breken laten ze gelige korstjes achter die na een paar dagen genezen.
Het hele proces duurt ongeveer 10 dagen en verdwijnt zonder behandeling. In elk geval kunnen we topische middelen gebruiken om de genezing van de laesies te versnellen.
Herpes is besmettelijk, dus het is belangrijk maatregelen te nemen om de overdracht op andere mensen en auto-inoculatie in andere slijmvliezen van het lichaam te voorkomen.
6. Malocclusie
Beetproblemen en scheve tanden zijn andere veelvoorkomende mondziekten. Het gebrek aan harmonie en evenwicht in het gebit verhindert de juiste verhouding tussen de boven- en ondertanden. Dit veroorzaakt problemen met kauwen en eten, maar ook met spreken en esthetiek.
Malocclusies kunnen ontstaan door genetische problemen die niet te vermijden zijn. Heel vaak zijn ze echter gerelateerd aan disfunctionele gewoonten tijdens de kindertijd die te voorkomen zijn. Denk aan gewoontes zoals duimzuigen, mondademhaling, langdurig gebruik van de fles of fopspeen, atypisch slikken.
Om malocclusies te behandelen, is het nodig een beroep te doen op orthodontische behandelingen. Tegenwoordig zijn er verschillende soorten hulpmiddelen die helpen de beet van een persoon te verbeteren.
De tandarts zal voor elk geval de meest geschikte optie kiezen. Dit is onder andere afhankelijk van de leeftijd van de patiënt, het te behandelen probleem, de ernst van de malocclusie en de behoeften van de persoon.
7. Mondkanker
Mondkanker behoort tot de meestvoorkomende en gevaarlijke mondziekten. In feite behoort het tot de 10 meestvoorkomende soorten kanker (Engelse link). Mondkanker wordt meer ontdekt bij mensen boven de 40 jaar. Tussen de 60 en 62 jaar is de diagnostische piek.
Malignisatie van mondcellen wordt in verband gebracht met verschillende risicofactoren die zich gedurende het hele leven opstapelen zoals:
- het gebruik tabak.
- het drinken van alcohol.
- infecties met het menselijk papillomavirus.
- te veel blootstelling aan de zon.
- slechte mondhygiëne.
- kunstgebitten in slechte staat.
Manifestaties variëren afhankelijk van waar in de mond ze zich bevinden, en ook het type kanker. Ze kunnen eruit zien als rode of witte vlekken, zweren die niet genezen, of knobbels en tumoren.
Afhankelijk van het type kanker en het stadium waarin het wordt vastgesteld, wordt de behandeling bepaald. In elk geval is de prognose altijd beter voor gevallen die worden ontdekt zodra de symptomen beginnen. Daarom is het heel belangrijk om regelmatig de tandarts te bezoeken en zelfonderzoek te doen om verdachte veranderingen op te sporen.
Mondziekten voorkomen
Veel van de meestvoorkomende mondziekten kunnen we voorkomen. Eenvoudige handelingen en gezonde leefgewoonten zullen je helpen het ongemak van deze aandoeningen en de noodzaak van onaangename, dure behandelingen te voorkomen.
Poetsen, flossen, fluoridetandpasta’s en mondspoelingen zullen je helpen tandplakproblemen onder controle te houden. Een gezond, suikerarm dieet vermindert ook ziektekiemen en houdt botten, tanden en slijmvliezen gezond.
Het vermijden van schadelijke gewoonten zoals roken, alcohol, duimzuigen of mondademen is een andere manier om mondziekten te voorkomen. Regelmatige bezoeken aan de tandarts maken vervolgens onze preventiemethoden compleet.
Je tandarts zal je helpen je mond gezond te houden en de kwalen waarover we je hier hebben verteld te voorkomen. En als ze zich toch voordoen, zal hij/zij zich inzetten om de problemen zo snel mogelijk op te lossen.
Het is gebruikelijk om naar de tandarts te gaan vanwege een dringende noodzaak, zoals kiespijn, een gebroken tand, of gewoon omdat we willen weten wat er in onze mond gebeurt! Hoewel veelvoorkomende mondziekten te voorkomen zijn, moeten mensen uiteindelijk toch vaak naar de tandarts om ze te laten verhelpen.
Volgens de Global Burden of Disease Study 2019 treffen mondziekten wereldwijd ongeveer 3,5 miljard mensen. Onbehandelde cariës in het volwassen gebit is de meestvoorkomende gezondheidsaandoening.
Mondziekten veroorzaken pijn en ongemak bij de patiënt. De ernstigste kunnen leiden tot misvormingen in het gezicht en uiteindelijk zelfs tot de dood.
Behandelingen
Verschillende van deze aandoeningen kunnen met eenvoudige zorg worden voorkomen of in een vroeg stadium worden behandeld. Sommige mensen stellen hun mondgezondheid echter uit, en de processen verergeren en er zijn invasievere, complexere en duurdere behandelingen nodig.
Als je weet wat de meestvoorkomende mondziekten zijn , kun je je richten op de factoren die de ontwikkeling ervan bevorderen, om ze te voorkomen of actie te ondernemen om de voortgang ervan te voorkomen. Ontdek hier de meestvoorkomende mondgezondheidsproblemen en hun behandeling.
Wellicht ben je ook geïnteresseerd in dit artikel:
Bacteriën die gaatjes veroorzaken
De 7 meestvoorkomende mondziekten
1. Tandbederf

Tandbederf is de meestvoorkomende mondziekte. Het treft mensen over de hele wereld, ongeacht geslacht en leeftijd.
Volgens de Global Burden of Disease Study 2019 is tandbederf in het blijvende gebit de meestvoorkomende mondaandoening. Ongeveer 2 miljard mensen lijden eraan en 520 miljoen kinderen lijden aan de ziekte in melktanden.
Tandbederf is de aantasting van de harde weefsels van de tanden. Ze verliezen hun mineralen door de werking van zuren die bacteriën in de mond produceren bij het metaboliseren van suikers in de voeding.
Slechte mondhygiëne en een dieet rijk aan eenvoudige koolhydraten zijn de belangrijkste factoren die in verband worden gebracht met het ontstaan van deze ziekte. Als er veel bacteriën in de mond zijn en ze genoeg suiker hebben om zich te vermenigvuldigen en steeds meer op te hopen, zal de zuurgraad in de mond de tanden beschadigen.
In het begin van de ziekte ziet tandbederf eruit als een droge witte vlek op het oppervlak van het tandglazuur. Naarmate het proces voortschrijdt, worden de vlekken donkerder, breekt het weefsel af, en ontstaan er gaten en holtes in de tanden.
Als holtes niet tijdig worden behandeld, kan de vernietiging de tandpulpa aantasten. Dit veroorzaakt pijn en infecties die de situatie verergeren en complexere behandelingen vereisen om ze op te lossen.
In een vroeg stadium kan tandbederf worden tegengegaan met fluoridetherapieën. Als er echter weefselverlies optreedt, zijn, afhankelijk van de omvang van het letsel en de ernst van het geval, vullingen, wortelkanalen of zelfs extractie van de tanden nodig.
Met gezonde gewoonten kan tandbederf worden voorkomen. Elke dag een goede mondhygiëne toepassen, fluoridetandpasta gebruiken, een suikerarm dieet eten en elke zes maanden de tandarts bezoeken zijn effectieve manieren om deze ziekte te voorkomen.
2. Parodontale problemen
Een andere van de meestvoorkomende mondziekten zijn die welke het parodontium aantasten: gingivitis en parodontitis. Deze aandoeningen komen vaker voor bij volwassenen, maar kunnen zich ook ontwikkelen bij kinderen en adolescenten.
Volgens de Wereldgezondheidsorganisatie (WHO) worden ernstige parodontale aandoeningen geschat op bijna 14% van de volwassenen (Spaanse link). Dit komt overeen met meer dan 1 miljard gevallen wereldwijd.
Gingivitis
Gingivitis is de ontsteking van het tandvlees en het begin van parodontale problemen. Het gebrek aan mondhygiëne veroorzaakt de ophoping van bacteriële plaque en tandsteen die het tandvleesweefsel irriteren. Hoewel er ook andere factoren zijn die het beeld bevorderen, zoals hormonale veranderingen en zwangerschap, roken, of de aanwezigheid van sommige systeemziekten.
Gingivitis is te herkennen doordat het tandvleesweefsel een intens rode kleur heeft, opzwelt, gemakkelijk bloedt en pijn doet. Bloed uitspugen bij het tandenpoetsen is een van de meestvoorkomende verschijnselen van deze aandoening en een niet te missen waarschuwing.
De behandeling bestaat uit grondige mondhygiëne thuis, inclusief tandenpoetsen en tandvlees poetsen, flossen, fluoridetandpasta’s en antiseptische mondspoelingen. Ook zijn professionele reinigingen bij de tandarts nodig om tandsteenaanslag te verwijderen.
Parodontitis
Parodontitis is ook bekend als “parodontitis” of “pyorroe.” Het is wat er gebeurt als tandvleesontsteking niet is behandeld en is voortgeschreden en diepere weefsels heeft bereikt.
Bacteriën uit tandplak en tandsteen bereiken de diepste delen van het tandvlees, waardoor pockets ontstaan waar ze zich ophopen en woekeren. Dit leidt tot infectie en ontsteking van de weefsels die de tanden ondersteunen.
Parodontitis tast het tandvlees, de tandwortels, het parodontale ligament en het alveolaire bot aan. Deze structuren zijn verantwoordelijk voor het op zijn plaats houden van de tanden.
Bij parodontitis zijn de ondersteunende weefsels beschadigd en wordt het bot vernietigd. Hierdoor verliezen de tanden hun steun en is het heel gewoon dat ze gaan bewegen of, in de meest gevorderde gevallen, zelfs naar buiten komen.
Beweeglijkheid van de tanden is een van de kenmerkende symptomen van parodontitis. Daarnaast zal de patiënt last hebben van tandvleesontsteking of recessie, ongemak aan de tanden, slechte adem, pus, bloedingen en pijn in het tandvlees.
Parodontitis is een aandoening die behandeld moet worden zodra het wordt vastgesteld, zodat het zich niet verder ontwikkelt. Niet alleen omdat het je zonder tanden kan laten zitten, maar ook omdat deze aandoening samenhangt met systemische aandoeningen (Engelse link). Diabetes, hartziekten, en ademhalings- en neurologische ziekten zijn enkele voorbeelden.
De behandeling van parodontitis vereist de tussenkomst van de tandarts. Afhankelijk van de ernst van de aandoening en de omvang van de schade zal de professional reiniging, scaling, rootplaning en parodontale chirurgie uitvoeren, aangevuld met het gebruik van lokale antiseptica en antibiotica.
3. Aften
Aften zijn zweren die ontstaan op het mondslijmvlies en pijn en ongemak in de mond veroorzaken. De oorzaken zijn niet helemaal duidelijk, maar verschillende factoren bevorderen het ontstaan ervan: stress, hormonale veranderingen, immuunproblemen, trauma, voedselovergevoeligheid en sommige mondinfecties.
Kenmerkend voor aften zijn de ronde, witachtige laesies met rode randen. Ze doen pijn bij aanraking of bij het eten van zeer zout of pittig voedsel. Aften ontstaan vooral op de wangen, lippen, of zijkanten, en onderkant van de tong. Ze komen ook voor op de achterkant van het monddak en het tandvlees.
Aften zijn niet besmettelijk. Deze laesies genezen meestal vanzelf binnen 10 tot 14 dagen. Dit betekent dat er geen behandeling nodig is, hoewel sommige symptoomverlichtende maatregelen het proces kunnen verlichten.
- Een zacht en koel dieet, het vermijden van pittig, zuur en zout voedsel, en het aanbrengen van wat plaatselijke pijnstillers kunnen de vervelende symptomen verzachten.
- Als de laesies na 2 weken aanhouden, is het belangrijk om de tandarts te raadplegen om andere problemen uit te sluiten.
4. Orale infecties
Bacteriën, schimmels en virussen kunnen de mondweefsels aantasten en infecties veroorzaken met uitingen in de mond. We hebben je al verteld over cariës, gingivitis en parodontitis, ziektebeelden veroorzaakt door bacteriën in de mond.
Tand- en parodontale abcessen zijn verzamelingen pus, het product van infecties in de tanden en het tandvlees die niet behandeld zijn. Deze processen veroorzaken pijn en zwelling in het gebied. Bovendien bestaat het risico dat de aandoening zich uitbreidt naar andere verafgelegen gebieden.
Het is belangrijk dat tandabcessen worden behandeld zodra ze worden ontdekt. Het gebruik van antibiotica is noodzakelijk, naast het elimineren van de infectieuze focus door middel van wortelkanalen, extracties, curettage of parodontale chirurgie.
Maar niet alleen de bacteriën die de tanden en het parodontium aanvallen zijn verantwoordelijk voor infecties in de mond. Hieronder bespreken we andere veelvoorkomende mondziekten die door ziektekiemen kunnen ontstaan.
Candidiasis
Candidiasis of spruw is een veelvoorkomende infectie van het mondslijmvlies, vooral bij kinderen en ouderen. Het wordt veroorzaakt door Candida albicans, een schimmel die meestal in de mond aanwezig is.
Als zich bepaalde gunstige omstandigheden voordoen, groeit dit micro-organisme overmatig. Dit verstoort het evenwicht van het orale ecosysteem en er ontstaat mycose.
Overdreven mondhygiëne, overmatig of veelvuldig gebruik van antibiotica, sommige medische behandelingen of bepaalde systemische ziekten bevorderen het ontstaan ervan. Deze infectie is een van de belangrijkste mondmanifestaties bij HIV-patiënten.
Spruw wordt gekenmerkt door het verschijnen van kleine witte vlekjes die lijken op gestolde melk en niet loslaten als je ze met een gaasje probeert te verwijderen. Ze komen voor op de hoeken van de lippen, tong, wangen, gehemelte en andere delen van de mond. De arts zal de aandoening behandelen met lokale of systemische schimmelwerende middelen, afhankelijk van het geval.
Hand-, voet- en mondziekte
Hand-, voet- en mondziekte is een infectie die wordt veroorzaakt door coxsackievirus A16 en enterovirus 71. De aandoening tast niet alleen de mond aan, zoals de naam doet vermoeden, maar manifesteert zich ook in de handen en voeten.
Er verschijnen pijnlijke blaren op de wangen en tong, handpalmen, voetzolen en billen. Bovendien gaat het proces gepaard met keelpijn en koorts.
Deze pathologie is typisch voor jonge kinderen en schoolgaande kinderen. Het is erg ongemakkelijk, maar heeft de neiging om na 3 tot 5 dagen te verdwijnen.
Herpangina
Herpangina is een andere veelvoorkomende mondziekte die wordt veroorzaakt door coxsackievirus A en enterovirussen. Het treft meestal kinderen van 3 tot 10 jaar, tijdens het zomer- en herfstseizoen.
Aan het begin van de infectie verschijnen kleine rode vlekjes achter in de mond. Ze vullen zich met vocht en veranderen in blaasjes die openbarsten, waardoor kleine zweertjes achterblijven.
De zweertjes zijn erg klein, 2 tot 4 millimeter, en zijn erg pijnlijk. Het ongemak dat ze veroorzaken leidt ertoe dat het kind voedsel en water weigert.
Ze zitten meestal op het zachte gehemelte, de amandelen en de keel. De symptomen gaan meestal gepaard met klachten zoals keelpijn, moeite met slikken en koorts.
De zweertjes verdwijnen meestal vanzelf na 5 tot 10 dagen. Gedurende het hele proces is het belangrijk om het kind gehydrateerd te houden. Het gebruik van pijnstillers is mogelijk.
Lees ook alles over:
Waar zijn tanden van gemaakt?
Koortslip

Infecties met het herpesvirus zijn een ander vrij veel voorkomend mondprobleem. De verschijnselen kunnen veranderen afhankelijk van de leeftijd van de patiënt.
De eerste infectie van kinderen met het herpesvirus treedt meestal op tussen 0 en 3 jaar oud en staat bekend als gingivostomatitis herpeticum. Kenmerkend zijn het gezwollen en bloedend tandvlees en het ontstaan van kleine blaasjes en pijnlijke zweertjes in de hele mond.
Daarnaast heeft het kind meestal koorts, overmatig kwijlen, weigert het hydratatie en is het kieskeurig en moe. Het proces duurt ongeveer een week en verdwijnt vanzelf zonder behandeling. De kinderarts kan echter pijnstillers en thuiszorgmaatregelen voorschrijven om het kind te kalmeren.
Oorzaken van een koortslip
Een terugkerende koortslip is een andere variant van een orale infectie met het herpes simplex virus type I. Als iemand eenmaal besmet is met deze kiem, blijft deze voor altijd latent aanwezig in het lichaam.
Wanneer het geconfronteerd wordt met situaties die de afweer verminderen, vindt het virus een geschikt scenario om tevoorschijn te komen en symptomen te produceren. Het eten van bepaald voedsel, blootstelling aan de zon of extreme kou, verkoudheid, stress of trauma zijn enkele factoren die predisponeren voor het optreden van de aandoening.
Orale herpes veroorzaakt kleine met vloeistof gevulde blaasjes in de mond of op de huid van de lippen. Ze jeuken of doen pijn en als ze breken laten ze gelige korstjes achter die na een paar dagen genezen.
Het hele proces duurt ongeveer 10 dagen en verdwijnt zonder behandeling. In elk geval kunnen we topische middelen gebruiken om de genezing van de laesies te versnellen.
Herpes is besmettelijk, dus het is belangrijk maatregelen te nemen om de overdracht op andere mensen en auto-inoculatie in andere slijmvliezen van het lichaam te voorkomen.
6. Malocclusie
Beetproblemen en scheve tanden zijn andere veelvoorkomende mondziekten. Het gebrek aan harmonie en evenwicht in het gebit verhindert de juiste verhouding tussen de boven- en ondertanden. Dit veroorzaakt problemen met kauwen en eten, maar ook met spreken en esthetiek.
Malocclusies kunnen ontstaan door genetische problemen die niet te vermijden zijn. Heel vaak zijn ze echter gerelateerd aan disfunctionele gewoonten tijdens de kindertijd die te voorkomen zijn. Denk aan gewoontes zoals duimzuigen, mondademhaling, langdurig gebruik van de fles of fopspeen, atypisch slikken.
Om malocclusies te behandelen, is het nodig een beroep te doen op orthodontische behandelingen. Tegenwoordig zijn er verschillende soorten hulpmiddelen die helpen de beet van een persoon te verbeteren.
De tandarts zal voor elk geval de meest geschikte optie kiezen. Dit is onder andere afhankelijk van de leeftijd van de patiënt, het te behandelen probleem, de ernst van de malocclusie en de behoeften van de persoon.
7. Mondkanker
Mondkanker behoort tot de meestvoorkomende en gevaarlijke mondziekten. In feite behoort het tot de 10 meestvoorkomende soorten kanker (Engelse link). Mondkanker wordt meer ontdekt bij mensen boven de 40 jaar. Tussen de 60 en 62 jaar is de diagnostische piek.
Malignisatie van mondcellen wordt in verband gebracht met verschillende risicofactoren die zich gedurende het hele leven opstapelen zoals:
- het gebruik tabak.
- het drinken van alcohol.
- infecties met het menselijk papillomavirus.
- te veel blootstelling aan de zon.
- slechte mondhygiëne.
- kunstgebitten in slechte staat.
Manifestaties variëren afhankelijk van waar in de mond ze zich bevinden, en ook het type kanker. Ze kunnen eruit zien als rode of witte vlekken, zweren die niet genezen, of knobbels en tumoren.
Afhankelijk van het type kanker en het stadium waarin het wordt vastgesteld, wordt de behandeling bepaald. In elk geval is de prognose altijd beter voor gevallen die worden ontdekt zodra de symptomen beginnen. Daarom is het heel belangrijk om regelmatig de tandarts te bezoeken en zelfonderzoek te doen om verdachte veranderingen op te sporen.
Mondziekten voorkomen
Veel van de meestvoorkomende mondziekten kunnen we voorkomen. Eenvoudige handelingen en gezonde leefgewoonten zullen je helpen het ongemak van deze aandoeningen en de noodzaak van onaangename, dure behandelingen te voorkomen.
Poetsen, flossen, fluoridetandpasta’s en mondspoelingen zullen je helpen tandplakproblemen onder controle te houden. Een gezond, suikerarm dieet vermindert ook ziektekiemen en houdt botten, tanden en slijmvliezen gezond.
Het vermijden van schadelijke gewoonten zoals roken, alcohol, duimzuigen of mondademen is een andere manier om mondziekten te voorkomen. Regelmatige bezoeken aan de tandarts maken vervolgens onze preventiemethoden compleet.
Je tandarts zal je helpen je mond gezond te houden en de kwalen waarover we je hier hebben verteld te voorkomen. En als ze zich toch voordoen, zal hij/zij zich inzetten om de problemen zo snel mogelijk op te lossen.
Alle aangehaalde bronnen zijn grondig gecontroleerd door ons team om hun kwaliteit, betrouwbaarheid, actualiteit en geldigheid te waarborgen. De bibliografie van dit artikel werd beschouwd als betrouwbaar en wetenschappelijk nauwkeurig.
- Caiza, P., & Rubí, G. (2022). Remineralización del esmalte dental con flúor barniz y fluoruro diamino de plata. Estudio in vitro (Bachelor’s thesis, Quito: UCE).
- Perona, M. D. P. G., Gálvez, D. A., & Salinas, C. T. (2021). Developments in the use of varnish flúor. Reporte case. Revista de Odontopediatría Latinoamericana, 3(2), 111-117.
- Castillo, D. I. A. N. A., Chamorro, L. I. D. A., Díaz, J., Rosas, S. I. L. V. I. O., & Cabrera, C. R. I. S. T. I. A. N. (2019). Frecuencia de los factores de riesgo relacionados con la Gingivitis en la Clínica de Mediana Complejidad de la Universidad Cooperativa de Colombia campus Pasto, periodos 2017-II y 2018-I. San Juan de Pasto: Universidad Cooperativa de Colombia.
- Sojod, B., Périer, J. M., Zalcberg, A., Bouzegza, S., El Halabi, B., & Anagnostou, F. (2022). Enfermedad periodontal y salud general. EMC-Tratado de Medicina.
- Illescas, M. V. L., Soto, A. R., & González, B. G. (2019). Maloclusiones dentarias y su relación con los hábitos bucales lesivos. Revista Cubana de Estomatología, 56(2), 1-14.
- Solano, Y. H., & Molina, Y. A. (2019). Hábitos bucales deformantes y su relación etiológica con las maloclusiones. Multimed, 23(3), 580-591.
- Cárdenas, H. M. (2022). Identificación de cándida en cavidad bucal de pacientes con diabetes y VIH/SIDA. Estomatología, 30(1), NA-NA.
- Rivera, C. (2015). Essentials of oral cancer. International journal of clinical and experimental pathology, 8(9), 11884.
- Miguel Cruz, P. A., Niño Peña, A., Batista Marrero, K., & Miguel-Soca, P. E. (2016). Factores de riesgo de cáncer bucal. Revista Cubana de Estomatología, 53(3), 128-145.
Deze tekst wordt alleen voor informatieve doeleinden aangeboden en vervangt niet het consult bij een professional. Bij twijfel, raadpleeg uw specialist.







