Truncus arteriosus, een zeldzame hartafwijking


Beoordeeld en goedgekeurd door de biotechnoloog Alejandro Duarte
Truncus arteriosus is een aangeboren afwijking. Daarbij komt er een enkele slagader uit het hart. Met andere woorden, de baby heeft één grote slagader in plaats van twee afzonderlijke om bloed naar de longen en de rest van het lichaam te vervoeren.
Dit is een vrij zeldzame hartafwijking. Over het algemeen is er een incidentie van 0,21-0,34% bij de baby’s die worden geboren met een aangeboren hartafwijking. Er wordt uitgegaan dat ongeveer 2-3% van de baby’s geregistreerd zijn bij een pediatrische hartchirurg.
Oorzaken van een truncus arteriosus
In een normaal werkend hart volgt het bloed deze cyclus: lichaam-hart-longen-hart-lichaam. Wanneer er sprake is van een truncus arteriosus, stroomt het bloed dat het hart verlaat niet via de normale route door het lichaam.
In sommige gevallen heeft het hart geen vier afzonderlijke compartimenten. In plaats daarvan is er slechts één holte. Er zijn dus geen atria of ventrikels die het bloed scheiden (dat wil zeggen: afhankelijk van zijn oorsprong en bestemming).
Er is namelijk slechts één gemeenschappelijke slagader. Ook is er geen specifieke route voor bloed dat rijk is aan kooldioxide, evenmin als een aparte route voor het zuurstofrijke bloed.
Een gemeenschappelijke slagader verschijnt tijdens de foetale groei wanneer het hart van de baby zich ontwikkelt. Deze hoort zich later in de ontwikkeling te splitsen tot 2 afzonderlijke bloedvaten. Deze aandoening is dus al aanwezig op het moment van de geboorte. Daarom spreken we van een aangeboren hartafwijking.

De oorzaak van deze afwijking is in de meeste gevallen nog onduidelijk. We kennen echter verschillende factoren die het risico op een truncus arteriosus kunnen verhogen. Een paar van deze factoren zijn:
- een familiegeschiedenis van aangeboren hartproblemen.
- foetussen met chromosoomafwijkingen lopen een hoger risico om deze aandoening te ontwikkelen. Dit geldt met name voor foetussen met velocardiofaciaal syndroom of het syndroom van DiGeorge.
- bepaalde medicijnen die tijdens de zwangerschap worden ingenomen kunnen de ontwikkeling van een foetus schaden.
- zwangere vrouwen die virale ziekten zoals rodehond krijgen, hebben meer kans om een baby te krijgen met een afwijkingen zoals truncus arteriosus.
Wat zijn de symptomen?
Bij elke foetus en baby kunnen er andere symptomen waargenomen worden. Er zijn echter enkele veelvoorkomende symptomen die bij de meeste baby’s die aan deze aandoening lijden optreden. De meestvoorkomende tekenen zijn:
- cyanosis
- vermoeidheid
- zweten
- koude huid
- moeilijke, versnelde ademhaling
- versnelde hartslag
- luchtwegcongestie
- gebrek aan eetlust
Al deze symptomen kunnen echter ook voorkomen bij andere medische aandoeningen of andere hartproblemen. Het is dus erg belangrijk dat de arts verder onderzoek doet als een kindje een van deze symptomen vertoont.
Misschien vind je dit interessant om te lezen:
Congestief hartfalen: zeven mogelijke oorzaken
Hoe wordt het gediagnosticeerd?

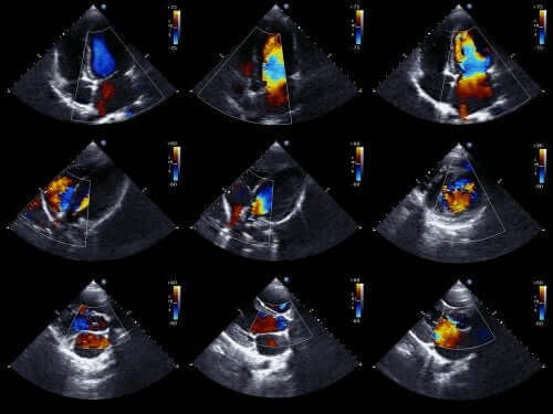
Artsen kunnen meestal dit soort anomalieën vaak al diagnosticeren voordat een baby wordt geboren. Om dit te doen, gebruiken ze een foetaal echocardiogram. Dit is een techniek die geluidsgolven gebruikt om een bewegend hartbeeld te reproduceren en een van de meest effectieve technieken om aangeboren hartproblemen te diagnosticeren.
Dankzij dit onderzoek kunnen we het uiterlijk van het hart zien en de werking ervan al onderzoeken wanneer een foetus zich nog in de baarmoeder bevindt. Met deze informatie kunnen artsen maatregelen nemen om onmiddellijk na de geboorte de behandeling uit te kunnen voeren.
Er is ook een pulsoximetrietest. Dit is een eenvoudige test die de hoeveelheid zuurstof in de bloedbaan meet. Een te lage hoeveelheid zuurstof in het bloed is vaak de eerste aanwijzing dat er een probleem met de werking van het hart is.
Lees meer over hartafwijkingen:
7 symptomen van hartruis die je moet kennen
Behandeling voor een truncus arteriosus
Helaas geven de huidige gegevens van deze afwijking aan dat wereldwijd gemiddeld 50% van de baby’s met een truncus arteriosus tijdens de eerste levensmaand reeds overlijdt. Hierna ligt de overleving van het eerste levensjaar tussen 10-25%.
De overgrote meerderheid van de patiënten overleeft het eerste levensjaar. Niettemin hebben velen van hen ook ernstige longaandoeningen, die vaak onomkeerbaar zijn.
Wat de behandeling betreft, hebben baby’s met deze aandoening meestal een openhartoperatie nodig om zowel de situatie te corrigeren als mogelijke complicaties te voorkomen. Deze procedure wordt over het algemeen al uitgevoerd tijdens de eerste maand na de geboorte.
Tijdens de operatie scheidt de arts de aorta en de longslagaders. Dit is om een route te creëren waardoor bloed vanuit de rechter hartkamer naar de longen kan stromen. Ze corrigeren waar mogelijk ook eventuele andere gedetecteerde hartafwijkingen.
Deze operatie is niet gemakkelijk, maar meestal wel succesvol. Als een operatie dit probleem niet oplost, kan de baby sterven.
Truncus arteriosus is een aangeboren afwijking. Daarbij komt er een enkele slagader uit het hart. Met andere woorden, de baby heeft één grote slagader in plaats van twee afzonderlijke om bloed naar de longen en de rest van het lichaam te vervoeren.
Dit is een vrij zeldzame hartafwijking. Over het algemeen is er een incidentie van 0,21-0,34% bij de baby’s die worden geboren met een aangeboren hartafwijking. Er wordt uitgegaan dat ongeveer 2-3% van de baby’s geregistreerd zijn bij een pediatrische hartchirurg.
Oorzaken van een truncus arteriosus
In een normaal werkend hart volgt het bloed deze cyclus: lichaam-hart-longen-hart-lichaam. Wanneer er sprake is van een truncus arteriosus, stroomt het bloed dat het hart verlaat niet via de normale route door het lichaam.
In sommige gevallen heeft het hart geen vier afzonderlijke compartimenten. In plaats daarvan is er slechts één holte. Er zijn dus geen atria of ventrikels die het bloed scheiden (dat wil zeggen: afhankelijk van zijn oorsprong en bestemming).
Er is namelijk slechts één gemeenschappelijke slagader. Ook is er geen specifieke route voor bloed dat rijk is aan kooldioxide, evenmin als een aparte route voor het zuurstofrijke bloed.
Een gemeenschappelijke slagader verschijnt tijdens de foetale groei wanneer het hart van de baby zich ontwikkelt. Deze hoort zich later in de ontwikkeling te splitsen tot 2 afzonderlijke bloedvaten. Deze aandoening is dus al aanwezig op het moment van de geboorte. Daarom spreken we van een aangeboren hartafwijking.

De oorzaak van deze afwijking is in de meeste gevallen nog onduidelijk. We kennen echter verschillende factoren die het risico op een truncus arteriosus kunnen verhogen. Een paar van deze factoren zijn:
- een familiegeschiedenis van aangeboren hartproblemen.
- foetussen met chromosoomafwijkingen lopen een hoger risico om deze aandoening te ontwikkelen. Dit geldt met name voor foetussen met velocardiofaciaal syndroom of het syndroom van DiGeorge.
- bepaalde medicijnen die tijdens de zwangerschap worden ingenomen kunnen de ontwikkeling van een foetus schaden.
- zwangere vrouwen die virale ziekten zoals rodehond krijgen, hebben meer kans om een baby te krijgen met een afwijkingen zoals truncus arteriosus.
Wat zijn de symptomen?
Bij elke foetus en baby kunnen er andere symptomen waargenomen worden. Er zijn echter enkele veelvoorkomende symptomen die bij de meeste baby’s die aan deze aandoening lijden optreden. De meestvoorkomende tekenen zijn:
- cyanosis
- vermoeidheid
- zweten
- koude huid
- moeilijke, versnelde ademhaling
- versnelde hartslag
- luchtwegcongestie
- gebrek aan eetlust
Al deze symptomen kunnen echter ook voorkomen bij andere medische aandoeningen of andere hartproblemen. Het is dus erg belangrijk dat de arts verder onderzoek doet als een kindje een van deze symptomen vertoont.
Misschien vind je dit interessant om te lezen:
Congestief hartfalen: zeven mogelijke oorzaken
Hoe wordt het gediagnosticeerd?

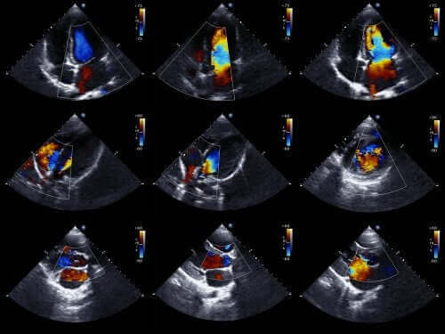
Artsen kunnen meestal dit soort anomalieën vaak al diagnosticeren voordat een baby wordt geboren. Om dit te doen, gebruiken ze een foetaal echocardiogram. Dit is een techniek die geluidsgolven gebruikt om een bewegend hartbeeld te reproduceren en een van de meest effectieve technieken om aangeboren hartproblemen te diagnosticeren.
Dankzij dit onderzoek kunnen we het uiterlijk van het hart zien en de werking ervan al onderzoeken wanneer een foetus zich nog in de baarmoeder bevindt. Met deze informatie kunnen artsen maatregelen nemen om onmiddellijk na de geboorte de behandeling uit te kunnen voeren.
Er is ook een pulsoximetrietest. Dit is een eenvoudige test die de hoeveelheid zuurstof in de bloedbaan meet. Een te lage hoeveelheid zuurstof in het bloed is vaak de eerste aanwijzing dat er een probleem met de werking van het hart is.
Lees meer over hartafwijkingen:
7 symptomen van hartruis die je moet kennen
Behandeling voor een truncus arteriosus
Helaas geven de huidige gegevens van deze afwijking aan dat wereldwijd gemiddeld 50% van de baby’s met een truncus arteriosus tijdens de eerste levensmaand reeds overlijdt. Hierna ligt de overleving van het eerste levensjaar tussen 10-25%.
De overgrote meerderheid van de patiënten overleeft het eerste levensjaar. Niettemin hebben velen van hen ook ernstige longaandoeningen, die vaak onomkeerbaar zijn.
Wat de behandeling betreft, hebben baby’s met deze aandoening meestal een openhartoperatie nodig om zowel de situatie te corrigeren als mogelijke complicaties te voorkomen. Deze procedure wordt over het algemeen al uitgevoerd tijdens de eerste maand na de geboorte.
Tijdens de operatie scheidt de arts de aorta en de longslagaders. Dit is om een route te creëren waardoor bloed vanuit de rechter hartkamer naar de longen kan stromen. Ze corrigeren waar mogelijk ook eventuele andere gedetecteerde hartafwijkingen.
Deze operatie is niet gemakkelijk, maar meestal wel succesvol. Als een operatie dit probleem niet oplost, kan de baby sterven.
Alle aangehaalde bronnen zijn grondig gecontroleerd door ons team om hun kwaliteit, betrouwbaarheid, actualiteit en geldigheid te waarborgen. De bibliografie van dit artikel werd beschouwd als betrouwbaar en wetenschappelijk nauwkeurig.
- Murphy, M. O., & Spray, T. L. (2016). Truncus arteriosus. In Surgery of Conotruncal Anomalies. https://doi.org/10.1007/978-3-319-23057-3_31
- Brown, J. W., Ruzmetov, M., Okada, Y., Vijay, P., & Turrentine, M. W. (2001). Truncus arteriosus repair: Outcomes, risk factors, reoperation and management. European Journal of Cardio-Thoracic Surgery. https://doi.org/10.1016/S1010-7940(01)00816-8
- Austin, E. H. (2003). Repair of truncus arteriosus. Operative Techniques in Thoracic and Cardiovascular Surgery. https://doi.org/10.1053/S1522-2942(03)00035-9
Deze tekst wordt alleen voor informatieve doeleinden aangeboden en vervangt niet het consult bij een professional. Bij twijfel, raadpleeg uw specialist.







