Tandhygiëne voor mensen met coeliakie

Het lijkt misschien alsof er geen verband is tussen mondhygiëne en coeliakie, maar mensen met deze aandoening moeten juist extra aandacht besteden aan hun tandhygiëne. We zijn ons er nu van bewust dat deze aandoening de tandheelkundige structuren beïnvloedt.
Het is zelfs zo dat sommige mensen al tekenen van tandbederf beginnen te vertonen voordat ze de typische symptomen van coeliakie hebben. Tandartsen moeten er dus rekening mee houden om een juiste diagnose te stellen en zo snel mogelijk een behandeling voor te schrijven. Het gaat hierbij vooral om dieetbeperkingen.
In dit opzicht maakt mondhygiëne voor mensen met deze aandoening deel uit van de preventieve therapie van de bijwerkingen van glutenintolerantie. Ieder mens moet op zoek gaan naar een geschikt dieet dat aan zijn specifieke behoeften voldoet. Dit is noodzakelijk zodat ze in staat zullen zijn om het toe te passen en eventuele toekomstige complicaties te verlichten.
Elke capabele volwassene moet verantwoordelijk zijn voor de verzorging van zijn of haar gebit, tandvlees en zachte weefsels, maar mensen met coeliakie moeten zich daar in het bijzonder op toeleggen. Zoals je in dit artikel zult zien, kan de aandoening het tandglazuur, het tandvlees en de lippen namelijk aantasten.
Hoe beïnvloedt coeliakie de gezondheid van het gebit?

Om de noodzakelijke mondhygiëne bij mensen met coeliakie te beoordelen, moet men eerst de effecten van deze aandoening in de mond herkennen. Deze kunnen al op jonge leeftijd beginnen en zelfs leiden tot de ontwikkeling van bacteriën. Vandaar het belang van het opsporen van eventuele veranderingen tijdens consulten in de kindertijd.
Lees ook eens:
Coeliakie bij kinderen en tieners
De effecten van coeliakie op het tandglazuur
Dit is een vrij ernstig probleem bij mensen met coeliakie en de schade is onomkeerbaar omdat het moeilijk aan te pakken is. Een vroege diagnose voorkomt meestal grote complicaties.
Voedingsdeficiënties zijn de belangrijkste theorie over de oorzaak van dit probleem. Coeliakie is een allergie, een inadequate reactie van het immuunsysteem en de darmvlokken op de gluten die aanwezig zijn in tarwe, gerst en rogge. Kortom, het is een reactie op een voedseleiwit.
Naarmate de tijd verstrijkt en de allergie verergert, worden de darmvlokken platter en verliezen zij het vermogen om voedingsstoffen te absorberen zoals het hoort. Zo komen verschillende voedingsstoffen niet in het lichaam, ook al krijgt iemand met deze aandoening ze wel binnen. Een chronisch en oplopend tekort aan bepaalde stoffen kan dus het tandbederf verklaren.
Aangezien er sprake is van een overdreven reactie van het immuunsysteem, zou het kunnen dat kruisreagerende antilichamen het glazuur aanvallen en vernietigen. Bovendien zal dit probleem de goede ontwikkeling van alle weefsels waaruit het gebit is opgebouwd verstoren als de aandoening al tijdens de kinderjaren ontstaat.
Slechte ontwikkeling van het gebit
Kinderen met coeliakie kunnen te maken krijgen met een slechte ontwikkeling van hun tijdelijke en blijvende gebit. Dit is gedeeltelijk te wijten aan wat we hierboven hebben uitgelegd. Het goede nieuws is dat een aangepast dieet het negatieve effect in dit geval kan verminderen.
Allemaal leuk en aardig, maar hoe kun je het opsporen? Wel, het meest voor de hand liggende teken is de vertraging in het doorkomen en vervangen van de tanden (Engelse link). Dat wil zeggen dat het organisme van een kind zich niet binnen de vastgestelde tijdlijn voor het opkomen van een bepaald gebitselement in de mond ontwikkelt.
Droge mond en het syndroom van Sjögren

Het komt vaak voor dat andere aandoeningen zich manifesteren, omdat ze dezelfde basis hebben, namelijk reactiviteit van het immuunsysteem als gevolg van de auto-immuuncomponent van coeliakie. Sommige mensen met deze aandoening ontwikkelen bijvoorbeeld ook het syndroom van Sjögren.
Dit syndroom treedt op wanneer antilichamen de lichaamsklieren vernietigen die verantwoordelijk zijn voor het smeren van weefsels. Dat wil zeggen dat ze de lacrimale en speekselklieren aanvallen, evenals de klieren die betrokken zijn bij transpiratie. Het betekent monddroogheid, omdat er niet genoeg speeksel is om de ruimte vochtig te houden.
Je bent je er misschien niet van bewust, maar de negatieve effecten nemen toe als er geen of onvoldoende speeksel is. In feite is er een grotere kans op schadelijke bacteriële kolonisatie die leidt tot agressievere, grotere gaatjes die zich eerder openbaren dan normaal.
Behalve kunstspeeksel kan iemand met het syndroom van Sjögren ook extra jus en appelmoes gebruiken om het eten makkelijker door te kunnen slikken.
Tandhygiëne bij mensen met coeliakie en gaatjes
Naast het syndroom van Sjögren komen gaatjes vaker voor bij coeliakie. Daarom is tandhygiëne van vitaal belang voor mensen met coeliakie. Zij moeten onder andere hun suikerinname beperken om ook de aanwezigheid van bacteriën die in verband staan met gisting te verminderen.
Zoals hierboven vermeld, kan er sprake zijn van defecten in het glazuur, wat gaatjes in de hand werkt. Het glazuur is een harde laag, maar niet sterk genoeg om de aanvallen van buitenaf te weerstaan als het niet correct gevormd is.
Tegelijkertijd verstoren tekorten aan voedingsstoffen door een slechte opname in de darmen de verdedigingskracht van het evenwicht van de mondomgeving (Engelse link) om gaatjes te voorkomen. Tekorten aan calcium en vitamine D komen vaak voor bij deze mensen. Beide stoffen zijn echter essentieel voor de ontwikkeling van botten en tanden.
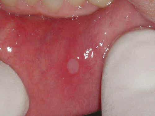
Orale spruw
Voedingsdeficiënties zijn ook de oorzaak van aften bij mensen met coeliakie. Met name een tekort aan vitamine B12 en foliumzuur zijn de directe boosdoeners. Vergeet hierbij niet dat het mondslijmvlies deel uitmaakt van hetzelfde slijmvlies dat zich uitstrekt tot in de darm. Geen wonder dus dat een reactie in het onderste deel van het spijsverteringsstelsel zich ook in het bovenste deel manifesteert.
Aften in de mond zijn zweertjes die vanzelf genezen. Ze duren meestal een week en het genezingsproces laat geen blijvende sporen na. Ze zijn echter wel vervelend en maken kauwen pijnlijk. Daarom veranderen ze vaak het dieet van mensen die toch al aan strenge beperkingen onderworpen zijn.
Waarom hebben mensen met coeliakie gebitsproblemen?

Zoals we hierboven al zeiden, belemmert coeliakie de opname van voedingsstoffen. Dit komt doordat de glutenallergie de darmvlokken afvlakt en ze hun functionaliteit grotendeels verliezen.
Ook maakt dit probleem niet al te veel onderscheid als het gaat om malabsorptie. Het vermindert dus de opname van uiteenlopende stoffen als mineralen en vitaminen in het lichaam. Daarnaast kunnen spijsverteringsklachten de calorie-inname beperken, wat leidt tot gewichtsverlies en een vermindering van de afweermogelijkheden van het lichaam.
Een tekort aan calcium en vitamine D heeft directe gevolgen voor het gebit. Beide stoffen zijn essentieel voor de ontwikkeling van de tandheelkundige structuren en het herstel van harde weefsels (Engelse link).
Bloedarmoede bij mensen met coeliakie heeft vaak, zij het indirect, bijgedragen aan de verminderde gezondheid van de mond. Zo hebben deze mensen minder zuurstoftoevoer in hun weefsels, waartoe ook het tandvlees behoort. Minder zuurstof betekent bovendien minder vermogen tot herstel en genezing, en mondzweren en trauma’s genezen niet zoals het hoort.
Het auto-immuungedeelte is nog een factor waarmee rekening moet worden gehouden wat het verband tussen een orale aandoening en coeliakie betreft. Immuunaandoeningen komen vaak gelijktijdig voor, zoals bijvoorbeeld het syndroom van Sjögren. Zoals je ziet is de aanwezigheid van antilichamen die de eigen weefsels aanvallen contraproductief voor de lichaamsstructuren.
Het glazuur zou wel eens het paradigmatische geval kunnen zijn om te verklaren waarom coeliakiepatiënten al op jonge leeftijd gebitsproblemen hebben. De eerste zeven levensjaren vormen de kritieke periode voor de vorming van deze laag.
Een kind met ondervoeding door coeliakie (Engelse link) en met antilichamen die vernietigen wat het lichaam probeert te herstellen, zal waarschijnlijk de volwassenheid bereiken met slecht ontwikkelde, rottende tanden.
Tandhygiëne bij mensen met coeliakie
Deze mensen moeten hun tandhygiëne met een professional bespreken. Tandartsen moeten letten op aanwijzingen die kunnen leiden tot een vroegtijdige diagnose, maar ook bijzondere zorgvuldigheid betrachten in hun praktijk.
Lees ook eens:
5 gewoontes om gezonde tanden te krijgen
Professionele tandhygiëne voor mensen met coeliakie

Het blijkt dat de tandartspraktijk niet glutenvrij is. Dat wil zeggen, iemand met coeliakie kan indirect worden blootgesteld aan gluten tijdens een bezoek aan een mondhygiënist. Dat gebeurt meestal zonder dat ze het weten.
Je weet het misschien niet, maar sommige soorten tandpasta en zelfs bepaalde plastic voorwerpen bevatten gluten. Ook tandzijde kan dit eiwit bevatten en slechte reacties veroorzaken bij een persoon. De tandarts moet dus op de hoogte zijn van de werkelijke ingrediënten van alle producten die hij gebruikt.
Algemene normen voor het leven van iemand met glutenintolerantie
Vermindering van de blootstelling aan gluten zal resulteren in voordelen voor het gehele spijsverteringskanaal en de algehele gezondheid van iemand met coeliakie. Dit is eigenlijk de belangrijkste aanbeveling en de beste therapeutische benadering voor deze aandoening. Het is dus onmogelijk om naar andere zorgrichtlijnen te kijken als niet het juiste dieet wordt aangenomen.
Gezien het verhoogde risico op gaatjes moet een voedingsplan de inname van suikers beperken (Engelse link), omdat deze de voedingsbodem vormen voor bacteriën die het zuur genereren dat het glazuur beschadigt. Bovendien moet een goede calorische balans extreem gewichtsverlies voorkomen.
Wat tandenpoetsen en flossen betreft, zijn de aanbevelingen hetzelfde als voor de algemene bevolking. Door aan de minimumnormen te voldoen, wordt het risico op gaatjes kleiner. Ook moeten de tanden drie keer per dag worden gepoetst, minimaal een half uur na de maaltijd.
Tot slot moet een bezoek aan de tandarts eenmaal per jaar plaatsvinden – vaker als er problemen zijn of als er sprake is van een recente diagnose of specifieke comorbiditeiten, zoals het syndroom van Sjögren. Een gespecialiseerde controle kan problemen opsporen die men misschien kan oplossen voordat ze grote gevolgen hebben.
Preventie van aften als onderdeel van de mond- en tandhygiëne bij coeliakiepatiënten

Bij coeliakiepatiënten komen zweren vaak voor, zodat zij hun mondhygiëne moeten aanvullen door extra te letten op voedingsmiddelen die zweren kunnen veroorzaken. Meestal zijn dit sterk gekruide en zure producten.
Wie ze niet kan voorkomen en een terugkerend probleem heeft, moet zijn toevlucht nemen tot het gebruik van bepaalde geneesmiddelen die het ongemak kunnen verzachten. In het ideale geval moet een tandarts ze voorschrijven – ook al zijn ze vrij verkrijgbaar. Zorg ervoor dat je de lijst van ingrediënten leest, want veel medicijnen en producten bevatten gluten.
Verlichting van een droge mond
Iemand met glutenintolerantie die ook het syndroom van Sjögren heeft, zal de droogheid van zijn slijmvliezen moeten verminderen. Dit voorkomt namelijk gaatjes en helpt om de in het voedingsplan toegestane voedingsmiddelen beter te verteren.
Hydrateren gedurende de dag en geen dorst krijgen is van cruciaal belang. Afhankelijk van de disfunctie van de speekselklieren kan iemand meer nodig hebben. Een (tand)arts kan ook vervangend speeksel (Engelse link) voorschrijven indien dit noodzakelijk is.
Ook zijn er tandpasta’s en mondspoelingen op de markt die speciaal bedoeld zijn voor de behandeling van een droge mond. Ze bevatten elementen tegen xerostomie in hun samenstelling en kunnen de meest voorkomende negatieve effecten tegengaan.
Mond- en tandhygiëne bij mensen met coeliakie is een kwestie van algemene gezondheid
Mensen met coeliakie kunnen mond- en tandhygiëne niet los zien van hun algehele gezondheid. Een glutenvrij dieet en het afstemmen van de voeding op de behoeften met behulp van een diëtist is noodzakelijk. Dat geldt ook voor vitaminesuppletie en regelmatige controles. Het voorkomen van complicaties is dus gekoppeld aan een gezonde mond.
Tot slot is regelmatig professioneel advies belangrijk, dus het vinden van een tandarts die je kan vertrouwen is van het grootste belang. Kies voor een tandarts die veranderingen in de loop der tijd kan beoordelen en vastleggen en die voor elke omstandigheid de benodigde producten kan voorschrijven.
Alle aangehaalde bronnen zijn grondig gecontroleerd door ons team om hun kwaliteit, betrouwbaarheid, actualiteit en geldigheid te waarborgen. De bibliografie van dit artikel werd beschouwd als betrouwbaar en wetenschappelijk nauwkeurig.
- Bıçak DA, Urgancı N, Akyüz S, Usta M, Kızılkan NU, Alev B, Yarat A. Clinical evaluation of dental enamel defects and oral findings in coeliac children. Eur Oral Res. 2018 Sep;52(3):150-156.
- Villemur Moreau L, Dicky O, Mas E, Noirrit E, Marty M, Vaysse F, Olives JP. Oral manifestations of celiac disease in French children. Arch Pediatr. 2021 Feb;28(2):105-110.
- Mina S, Riga C, Azcurra AI, Brunotto M. Oral ecosystem alterations in celiac children: a follow-up study. Arch Oral Biol. 2012 Feb;57(2):154-60.
- Satygo EA, Goncharova OV. Analiz vedushchikh patogeneticheskikh faktorov kariesa zubov u detei s tseliakiei [Analysis of the leading pathogenetic factors of dental caries in children with celiac disease]. Stomatologiia (Mosk). 2020;99(3):71-73.
- Theethira TG, Dennis M, Leffler DA. Nutritional consequences of celiac disease and the gluten-free diet. Expert Rev Gastroenterol Hepatol. 2014 Feb;8(2):123-9.
- Dennis M, Lee AR, McCarthy T. Nutritional Considerations of the Gluten-Free Diet. Gastroenterol Clin North Am. 2019 Mar;48(1):53-72.
- Łysik D, Niemirowicz-Laskowska K, Bucki R, Tokajuk G, Mystkowska J. Artificial Saliva: Challenges and Future Perspectives for the Treatment of Xerostomia. Int J Mol Sci. 2019 Jun 29;20(13):3199.
- Cervino G, Fiorillo L, Laino L, Herford AS, Lauritano F, Giudice GL, Famà F, Santoro R, Troiano G, Iannello G, Cicciù M. Oral Health Impact Profile in Celiac Patients: Analysis of Recent Findings in a Literature Review. Gastroenterol Res Pract. 2018 Oct 24;2018:7848735.
- van Gils T, Bouma G, Bontkes HJ, Mulder CJJ, Brand HS. Self-reported oral health and xerostomia in adult patients with celiac disease versus a comparison group. Oral Surg Oral Med Oral Pathol Oral Radiol. 2017 Aug;124(2):152-156.
- Krzywicka B, Herman K, Kowalczyk-Zając M, Pytrus T. Celiac disease and its impact on the oral health status – review of the literature. Adv Clin Exp Med. 2014 Sep-Oct;23(5):675-81.
Deze tekst wordt alleen voor informatieve doeleinden aangeboden en vervangt niet het consult bij een professional. Bij twijfel, raadpleeg uw specialist.







