7 symptomen die op een tandheelkundige infectie kunnen duiden


Beoordeeld en goedgekeurd door de fysiotherapeut Sofía Quintana Alonso
Je tanden staan voortdurend in contact met voedselresten, bacteriën, speeksel en andere elementen. Op elk moment kunnen ze je gezondheid beïnvloeden of de oorzaak zijn van een tandheelkundige infectie.
Je dagelijkse hygiënepraktijken helpen je om je mond schoon en gezond te houden. Soms verandert het milieu in je mond echter, waardoor infecties kunnen ontstaan. Wees daar voorzichtig mee.
Deze infecties kunnen mild of ernstig zijn. In sommige gevallen brengen ze zelfs de gezondheid van je hele lichaam in gevaar.
Het meest zorgwekkende is dat als je er niet op tijd bij bent, het kan leiden tot hevige pijn en volledig verlies van je gebit.
Het belangrijkste is daarom om de symptomen van infecties te herkennen. Zoek vooral professionele hulp wanneer je een probleem vast stelt.
Let op!
Tekenen van een tandheelkundige infectie
1. Slechte adem

Halitose is een van de meest duidelijke symptomen van een tandheelkundige infectie.
Dit wordt veroorzaakt door te veel bacteriën. Dit geldt in het bijzonder voor gebieden waar je tandenborstel niet goed bij kan en waar voedselresten achterblijven.
Meestal probeer je dit onder controle te houden door middel van mondhygiëneproducten. Het zal echter steeds terugkomen totdat je de infectie kwijt bent.
De aanwezigheid ervan zou kunnen duiden op:
- Ontstoken tandvlees
- Gaatjes
- Tandabcessen
- Bacteriële tandplak
- Veranderingen in je speeksel
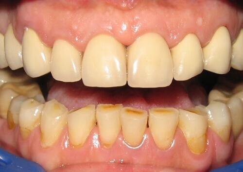
2. Slijtage van het tandglazuur
Wanneer je een tandheelkundige infectie hebt, produceren de bacteriën in je mond een zuur. Door dit zuur slijt het tandglazuur dat je tanden beschermt weg.
- Deze substantie hoopt zich op als een ruwe plak. Dit veroorzaakt gele vlekken door bepaalde voedselresten.
- Niet in staat zijn om de infectie onder controle te houden kan een ernstige verzwakking van je tanden veroorzaken. Hierdoor kan de dichtheid namelijk afnemen en het kan zelfs breken.
3. Kaak- en kiespijn

Een gevoel van pijn in je kaak en tanden, constant of met intervallen, kan ook een signaal zijn van een infectie. Het kan de ontwikkeling van paradontale aandoeningen of tandinfecties betekenen.
- Over het algemeen hebben deze te maken met een opeenhoping van tandplak.
- Het zou ook te maken kunnen hebben met residuen die het voor bacteriën makkelijker maken om te groeien.
Dit symptoom moet door een tandarts worden beoordeeld omdat het veroorzaakt kan worden door verschillende mondziekten of verwondingen.
4. Bloedend tandvlees
Bloedend tandvlees verschijnt wanneer er een soort letsel of infectie is die je tandvlees aantast.
- Het is normaal om dit af en toe te hebben als je je tanden poetst of je tanden flost. Je kunt het zelfs hebben wanneer je bepaalde voedingsmiddelen eet. Als het echter vaak voorkomt dan moet je er naar laten kijken.
- De belangrijkste oorzaak zijn gifstoffen die tandplak veroorzaken.
5. Ontsteking en roodheid

Paradontale infecties, waaronder ook gaatjes vallen, veroorzaken ontsteking van het tandvlees en roodheid. Dit gaat bijna altijd gepaard met pijn.
- Het is erg belangrijk dat je snel maatregelen neemt om complicaties te voorkomen. De zwelling kan namelijk naar je kaakbot uitbreiden.
6. Losse tanden
Als je voelt dat er een tand los zit is dit reden genoeg om naar de tandarts te gaan.
- Dit geeft de ontwikkeling van een tandheelkundige infectie aan. Tegelijkertijd vertelt het je dat de botstructuur dat je tanden ondersteunt aan het afbrokkelen is.
- Het is normaal dat dit gebeurt als je niet op tijd voor een tandvleesontsteking zorgt. Dit kan vervolgens overgaan in paradontitis.
7. Pus

Als er pus uit je tandvlees komt is dit een signaal dat je waarschuwt voor mogelijke paradontale aandoeningen.
Dit is een reactie van het immuunsysteem op een aanval van pathogene bacteriën die de infectie veroorzaken.
- In het begin kunnen ze ‘blaasjes’ veroorzaken. Deze worden ook wel abcessen genoemd en ze bevatten bloed en pus.
- Dit is een complex besmettelijk proces en moet door een specialist worden behandeld. Als je het namelijk niet op tijd behandelt kan het onomkeerbare schade veroorzaken.
- De infectie kan bijvoorbeeld je alveolaire bot beginnen te vernietigen. Dit is het bot dat je tanden ondersteunt.
Belangrijk!
Elke vermoedelijke infectie of ziekte van je tanden of tandvlees moet door een specialist onderzocht worden. Deze zaken kunnen namelijk snel problemen veroorzaken.
De infecties in je mond kunnen invloed hebben op andere belangrijke organen via je bloedbaan. Het is daarom belangrijk om het de juiste zorg te geven.
Om het risico op een tandheelkundige infectie te verminderen is het belangrijk om een goede mondhygiëne te hebben. Je moet ook regelmatig je tandarts bezoeken.
Je tanden staan voortdurend in contact met voedselresten, bacteriën, speeksel en andere elementen. Op elk moment kunnen ze je gezondheid beïnvloeden of de oorzaak zijn van een tandheelkundige infectie.
Je dagelijkse hygiënepraktijken helpen je om je mond schoon en gezond te houden. Soms verandert het milieu in je mond echter, waardoor infecties kunnen ontstaan. Wees daar voorzichtig mee.
Deze infecties kunnen mild of ernstig zijn. In sommige gevallen brengen ze zelfs de gezondheid van je hele lichaam in gevaar.
Het meest zorgwekkende is dat als je er niet op tijd bij bent, het kan leiden tot hevige pijn en volledig verlies van je gebit.
Het belangrijkste is daarom om de symptomen van infecties te herkennen. Zoek vooral professionele hulp wanneer je een probleem vast stelt.
Let op!
Tekenen van een tandheelkundige infectie
1. Slechte adem

Halitose is een van de meest duidelijke symptomen van een tandheelkundige infectie.
Dit wordt veroorzaakt door te veel bacteriën. Dit geldt in het bijzonder voor gebieden waar je tandenborstel niet goed bij kan en waar voedselresten achterblijven.
Meestal probeer je dit onder controle te houden door middel van mondhygiëneproducten. Het zal echter steeds terugkomen totdat je de infectie kwijt bent.
De aanwezigheid ervan zou kunnen duiden op:
- Ontstoken tandvlees
- Gaatjes
- Tandabcessen
- Bacteriële tandplak
- Veranderingen in je speeksel
2. Slijtage van het tandglazuur
Wanneer je een tandheelkundige infectie hebt, produceren de bacteriën in je mond een zuur. Door dit zuur slijt het tandglazuur dat je tanden beschermt weg.
- Deze substantie hoopt zich op als een ruwe plak. Dit veroorzaakt gele vlekken door bepaalde voedselresten.
- Niet in staat zijn om de infectie onder controle te houden kan een ernstige verzwakking van je tanden veroorzaken. Hierdoor kan de dichtheid namelijk afnemen en het kan zelfs breken.
3. Kaak- en kiespijn

Een gevoel van pijn in je kaak en tanden, constant of met intervallen, kan ook een signaal zijn van een infectie. Het kan de ontwikkeling van paradontale aandoeningen of tandinfecties betekenen.
- Over het algemeen hebben deze te maken met een opeenhoping van tandplak.
- Het zou ook te maken kunnen hebben met residuen die het voor bacteriën makkelijker maken om te groeien.
Dit symptoom moet door een tandarts worden beoordeeld omdat het veroorzaakt kan worden door verschillende mondziekten of verwondingen.
4. Bloedend tandvlees
Bloedend tandvlees verschijnt wanneer er een soort letsel of infectie is die je tandvlees aantast.
- Het is normaal om dit af en toe te hebben als je je tanden poetst of je tanden flost. Je kunt het zelfs hebben wanneer je bepaalde voedingsmiddelen eet. Als het echter vaak voorkomt dan moet je er naar laten kijken.
- De belangrijkste oorzaak zijn gifstoffen die tandplak veroorzaken.
5. Ontsteking en roodheid

Paradontale infecties, waaronder ook gaatjes vallen, veroorzaken ontsteking van het tandvlees en roodheid. Dit gaat bijna altijd gepaard met pijn.
- Het is erg belangrijk dat je snel maatregelen neemt om complicaties te voorkomen. De zwelling kan namelijk naar je kaakbot uitbreiden.
6. Losse tanden
Als je voelt dat er een tand los zit is dit reden genoeg om naar de tandarts te gaan.
- Dit geeft de ontwikkeling van een tandheelkundige infectie aan. Tegelijkertijd vertelt het je dat de botstructuur dat je tanden ondersteunt aan het afbrokkelen is.
- Het is normaal dat dit gebeurt als je niet op tijd voor een tandvleesontsteking zorgt. Dit kan vervolgens overgaan in paradontitis.
7. Pus

Als er pus uit je tandvlees komt is dit een signaal dat je waarschuwt voor mogelijke paradontale aandoeningen.
Dit is een reactie van het immuunsysteem op een aanval van pathogene bacteriën die de infectie veroorzaken.
- In het begin kunnen ze ‘blaasjes’ veroorzaken. Deze worden ook wel abcessen genoemd en ze bevatten bloed en pus.
- Dit is een complex besmettelijk proces en moet door een specialist worden behandeld. Als je het namelijk niet op tijd behandelt kan het onomkeerbare schade veroorzaken.
- De infectie kan bijvoorbeeld je alveolaire bot beginnen te vernietigen. Dit is het bot dat je tanden ondersteunt.
Belangrijk!
Elke vermoedelijke infectie of ziekte van je tanden of tandvlees moet door een specialist onderzocht worden. Deze zaken kunnen namelijk snel problemen veroorzaken.
De infecties in je mond kunnen invloed hebben op andere belangrijke organen via je bloedbaan. Het is daarom belangrijk om het de juiste zorg te geven.
Om het risico op een tandheelkundige infectie te verminderen is het belangrijk om een goede mondhygiëne te hebben. Je moet ook regelmatig je tandarts bezoeken.
Alle aangehaalde bronnen zijn grondig gecontroleerd door ons team om hun kwaliteit, betrouwbaarheid, actualiteit en geldigheid te waarborgen. De bibliografie van dit artikel werd beschouwd als betrouwbaar en wetenschappelijk nauwkeurig.
- Manriv, N. (2010). La enfermedad periodontal, Enfermedad de las encías. National Institute of Dental and Craniofacial Research 14.
- Herrera González, D., Roldán Díaz, S., and Sanz Alonso, M. (2003). El absceso periodontal. Periodoncia 13, 7–20.
- Aylıkcı BU, Colak H. Halitosis: From diagnosis to management. J Nat Sci Biol Med. 2013;4(1):14–23. doi:10.4103/0976-9668.107255
- Erazo D, Whetstone DR. Dental Infections. [Updated 2019 Nov 11]. In: StatPearls [Internet]. Treasure Island (FL): StatPearls Publishing; 2019 Jan-. Available from: https://www.ncbi.nlm.nih.gov/books/NBK542165/
- Riverón, J., Rodríguez, A., Coutin, G., and Riveron, F. (2003). Factores de riesgo asociados con la enfermedad caries dental en niños.
- Alvares, O. F. (2018). Periodontal diseases. In Nutritional Aspects of Aging: Volume 2. https://doi.org/10.1201/9781351075145
-
InformedHealth.org [Internet]. Cologne, Germany: Institute for Quality and Efficiency in Health Care (IQWiG); 2006-. Gingivitis and periodontitis: Overview. 2011 Oct 5 [Updated 2014 Jun 18]. Available from: https://www.ncbi.nlm.nih.gov/books/NBK279593/
Deze tekst wordt alleen voor informatieve doeleinden aangeboden en vervangt niet het consult bij een professional. Bij twijfel, raadpleeg uw specialist.







