Wat is een acuut coronair syndroom (ACS)?

Acuut coronair syndroom, of ACS, treedt op wanneer de bloedtoevoer naar het hart drastisch is verminderd. In de meeste gevallen wordt het veroorzaakt door het scheuren van een atheromateuze plaque in de kransslagaders.
Atheromateuze plaques zijn abnormale ophopingen van materialen in bloedvaten. Het loslaten van een deel van de genoemd atheroma veroorzaakt trombusvorming. Door de trombus, of propje, treedt totale of gedeeltelijke blokkering van een kransslagader op.
De kransslagaders zijn de belangrijkste bloedvaten die het hart voeden. Daarom leidt obstructie van deze bloedvaten tot een verminderde bloedtoevoer naar het hart. Dit leidt tot ischemische cardiopathologie.
Dit is de belangrijkste oorzaak van ACS. Er zijn echter ook een aantal andere oorzaken die tot ACS kunnen leiden. Een paar voorbeelden hiervan zijn onder andere:
- reumatoïde artritis
- trauma
- coronaire trombose
- hypercoagulatie problemen
- de ziekte van Kawasaki
- arteriële embolie
- spontane kransslagaderdissectie
- aangeboren afwijkingen
Klinische manifestaties van acuut coronair syndroom (ACS)

De pijn is plotseling en wordt intenser naarmate de tijd verstrijkt. Meestal bereikt het zijn piek ongeveer na twee tot vijf minuten. De aanvallen kunnen echter soms intermitterend zijn.
Andere symptomen zijn misselijkheid, braken, buikpijn of duizeligheid. Bovendien kunnen sommige patiënten ook de volgende symptomen vertonen:
- hypotensie
- zweten
- bleekheid
- onregelmatige pols
Bij jonge patiënten tussen 25 en 40 jaar en bij patiënten ouder dan 75 jaar kan het klinische beeld echter atypisch en niet-specifiek zijn. Dat gezegd hebbende, het kan zich manifesteren als:
- epigastrische pijn
- gevoel van indigestie
- vermoeidheid
- syncope
Ontdek ook:
Wat is een hartinfarct en hoe behandel je het?
Diagnose van acuut coronair syndroom
Artsen stellen de diagnose ACS nadat een patiënt pijn op de borst ervaart met vermoedelijke ischemie. In deze gevallen zal de arts enkele aanvullende tests uitvoeren om de aanwezigheid en ernst ervan te bepalen. Hieronder zullen we deze tests bekijken.
Elektrocardiogram

Over het algemeen is een elektrocardiogramtest de diagnostische test bij uitstek voor hartproblemen. Een ECG wordt ook wel een hartfilmpje genoemd.
Het is een medische test die de elektrische activiteit van het hart bij elke hartslag registreert. Daarbij wordt gebruikt gemaakt van een grafische weergave om de elektrische stimulatie van de atria en ventrikels en dus de beweging van het hart te tonen.
In geval van een vermoeden van ACS moet een arts binnen de eerste tien minuten na de beoordeling een elektrocardiogram uitvoeren. Als de resultaten niet doorslaggevend zijn, maar er nog steeds klinisch bewijs bestaat, raden deskundigen aan dat artsen het elektrocardiogram om de 15 tot 30 minuten herhalen om de situatie in de gaten te houden.
Cardiale enzymen
Daarnaast kunnen artsen bepaalde enzymen analyseren via bloedtesten. De aanwezigheid van deze enzymen wijzen op de aanwezigheid van myocardiale necrose.
Als de markers van myocardiale necrose (troponinen en creatinekinase-MB-massa) hoog zijn, moet de arts rekening houden met een myocardinfarct. Specialisten adviseren dat artsen deze markers gedurende de eerste 60 minuten analyseren.
De afwezigheid van deze markers tijdens een eerste bloedtest sluit myocardiale schade echter niet uit. Daarom moeten artsen de test zes en twaalf uur na het ontstaan van pijn op de borst herhalen.
Dit artikel kan je ook interesseren:
Ervaren vrouwen en mannen een hartinfarct anders?
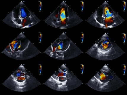
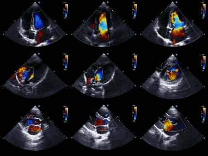
Echocardiogram

Ten slotte stelt een echocardiogram artsen in staat om de werking van het hart gedetailleerder te bestuderen. Het is dezelfde techniek die men gebruikt voor het maken van een echo bij zwangere vrouwen.
Het is dan ook een zeer populaire medische test. Over het algemeen is het een niet-invasieve test die geen risico voor de patiënt met zich meebrengt. Dit komt omdat het echografie gebruikt om de afbeeldingen van het hart te maken.
Zo kan de arts zowel de status van de hartkamers als de bewegingen van het hart evalueren om ischemie te bevestigen of uit te sluiten. Bovendien kan men aan de hand van deze beelden ook de hartgrootte en sterkte en de toestand van de wanden van de hartkamers beoordelen.
Als de arts deze test gebruikt, sluit de afwezigheid van bewegingsstoornissen in de hartwand de aanwezigheid van ischemie uit. Het bestaan van bewegingsstoornissen is immers niet uniek voor acuut coronair syndroom. Om die reden moeten de testresultaten en symptomen gezamenlijk worden beoordeeld.
Andere tests voor acuut coronair syndroom
Soms kunnen artsen een coronaire angiografie aanbevelen. Dit is een test die zowel contrastmiddel als röntgenstralen gebruikt om te observeren hoe bloed door het hart stroomt.
Bovendien kunnen artsen andere tests uitvoeren om de patiënt te diagnosticeren. Over het algemeen omvat dit tests zoals:
- een cardiale stresstest.
- radionuclide cardiale stresstest (met behulp van radio-actieve isotopen).
- een inspannings-echocardiogram.
Acuut coronair syndroom, of ACS, treedt op wanneer de bloedtoevoer naar het hart drastisch is verminderd. In de meeste gevallen wordt het veroorzaakt door het scheuren van een atheromateuze plaque in de kransslagaders.
Atheromateuze plaques zijn abnormale ophopingen van materialen in bloedvaten. Het loslaten van een deel van de genoemd atheroma veroorzaakt trombusvorming. Door de trombus, of propje, treedt totale of gedeeltelijke blokkering van een kransslagader op.
De kransslagaders zijn de belangrijkste bloedvaten die het hart voeden. Daarom leidt obstructie van deze bloedvaten tot een verminderde bloedtoevoer naar het hart. Dit leidt tot ischemische cardiopathologie.
Dit is de belangrijkste oorzaak van ACS. Er zijn echter ook een aantal andere oorzaken die tot ACS kunnen leiden. Een paar voorbeelden hiervan zijn onder andere:
- reumatoïde artritis
- trauma
- coronaire trombose
- hypercoagulatie problemen
- de ziekte van Kawasaki
- arteriële embolie
- spontane kransslagaderdissectie
- aangeboren afwijkingen
Klinische manifestaties van acuut coronair syndroom (ACS)

De pijn is plotseling en wordt intenser naarmate de tijd verstrijkt. Meestal bereikt het zijn piek ongeveer na twee tot vijf minuten. De aanvallen kunnen echter soms intermitterend zijn.
Andere symptomen zijn misselijkheid, braken, buikpijn of duizeligheid. Bovendien kunnen sommige patiënten ook de volgende symptomen vertonen:
- hypotensie
- zweten
- bleekheid
- onregelmatige pols
Bij jonge patiënten tussen 25 en 40 jaar en bij patiënten ouder dan 75 jaar kan het klinische beeld echter atypisch en niet-specifiek zijn. Dat gezegd hebbende, het kan zich manifesteren als:
- epigastrische pijn
- gevoel van indigestie
- vermoeidheid
- syncope
Ontdek ook:
Wat is een hartinfarct en hoe behandel je het?
Diagnose van acuut coronair syndroom
Artsen stellen de diagnose ACS nadat een patiënt pijn op de borst ervaart met vermoedelijke ischemie. In deze gevallen zal de arts enkele aanvullende tests uitvoeren om de aanwezigheid en ernst ervan te bepalen. Hieronder zullen we deze tests bekijken.
Elektrocardiogram

Over het algemeen is een elektrocardiogramtest de diagnostische test bij uitstek voor hartproblemen. Een ECG wordt ook wel een hartfilmpje genoemd.
Het is een medische test die de elektrische activiteit van het hart bij elke hartslag registreert. Daarbij wordt gebruikt gemaakt van een grafische weergave om de elektrische stimulatie van de atria en ventrikels en dus de beweging van het hart te tonen.
In geval van een vermoeden van ACS moet een arts binnen de eerste tien minuten na de beoordeling een elektrocardiogram uitvoeren. Als de resultaten niet doorslaggevend zijn, maar er nog steeds klinisch bewijs bestaat, raden deskundigen aan dat artsen het elektrocardiogram om de 15 tot 30 minuten herhalen om de situatie in de gaten te houden.
Cardiale enzymen
Daarnaast kunnen artsen bepaalde enzymen analyseren via bloedtesten. De aanwezigheid van deze enzymen wijzen op de aanwezigheid van myocardiale necrose.
Als de markers van myocardiale necrose (troponinen en creatinekinase-MB-massa) hoog zijn, moet de arts rekening houden met een myocardinfarct. Specialisten adviseren dat artsen deze markers gedurende de eerste 60 minuten analyseren.
De afwezigheid van deze markers tijdens een eerste bloedtest sluit myocardiale schade echter niet uit. Daarom moeten artsen de test zes en twaalf uur na het ontstaan van pijn op de borst herhalen.
Dit artikel kan je ook interesseren:
Ervaren vrouwen en mannen een hartinfarct anders?
Echocardiogram

Ten slotte stelt een echocardiogram artsen in staat om de werking van het hart gedetailleerder te bestuderen. Het is dezelfde techniek die men gebruikt voor het maken van een echo bij zwangere vrouwen.
Het is dan ook een zeer populaire medische test. Over het algemeen is het een niet-invasieve test die geen risico voor de patiënt met zich meebrengt. Dit komt omdat het echografie gebruikt om de afbeeldingen van het hart te maken.
Zo kan de arts zowel de status van de hartkamers als de bewegingen van het hart evalueren om ischemie te bevestigen of uit te sluiten. Bovendien kan men aan de hand van deze beelden ook de hartgrootte en sterkte en de toestand van de wanden van de hartkamers beoordelen.
Als de arts deze test gebruikt, sluit de afwezigheid van bewegingsstoornissen in de hartwand de aanwezigheid van ischemie uit. Het bestaan van bewegingsstoornissen is immers niet uniek voor acuut coronair syndroom. Om die reden moeten de testresultaten en symptomen gezamenlijk worden beoordeeld.
Andere tests voor acuut coronair syndroom
Soms kunnen artsen een coronaire angiografie aanbevelen. Dit is een test die zowel contrastmiddel als röntgenstralen gebruikt om te observeren hoe bloed door het hart stroomt.
Bovendien kunnen artsen andere tests uitvoeren om de patiënt te diagnosticeren. Over het algemeen omvat dit tests zoals:
- een cardiale stresstest.
- radionuclide cardiale stresstest (met behulp van radio-actieve isotopen).
- een inspannings-echocardiogram.
Alle aangehaalde bronnen zijn grondig gecontroleerd door ons team om hun kwaliteit, betrouwbaarheid, actualiteit en geldigheid te waarborgen. De bibliografie van dit artikel werd beschouwd als betrouwbaar en wetenschappelijk nauwkeurig.
- Cabrera S, Serrano I, Sans J, Bardají A. Protocolo diagnóstico del dolor torácico agudo. En: Urgencias. Unidades de dolor torácico. Medicine 2009;10(37)2511-4.
- Fauci, Braunwald, Kasper, Hauser, Longo, Jameson et al. Harrison, principios de Medicina Interna. Vol I-17a Edición. Mc Graw Hill Año 2009:87-91.
- Segura De La Cal, T., Carbonell San Román, S. A., & Zamorano Gómez, J. L. (2013). Síndrome coronario agudo. Medicine (Spain). https://doi.org/10.1016/S0304-5412(13)70608-5
- Sociedad Española de Cardiología. (2017). Proceso asistencial simplificado del síndrome coronario agudo. Sociedad Española de Cardiología. https://doi.org/http://dx.doi.org/10.2139/
- Lee Th, Goldman L. Evaluation Of The Patient With Acte Chest Pain. New England Journal Med 2000;342:1187-95
Deze tekst wordt alleen voor informatieve doeleinden aangeboden en vervangt niet het consult bij een professional. Bij twijfel, raadpleeg uw specialist.







