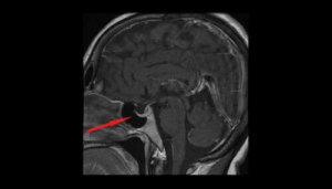
Wat is een hypofyse-adenoom?

Een hypofyse-adenoom is een langzaam groeiende, goedaardige tumor. Het ontstaat in de cellen waaruit de hypofyse bestaat. Dit is een klier die de functie van andere klieren in het lichaam regelt, daardoor is het een belangrijk orgaan.
Een hypofyse-adenoom komt echter relatief vaak voor en komt voor bij ongeveer 1 op de 1.000 volwassenen. Er is geen onderscheid als het gaat geslacht, want het treft evenveel mannen als vrouwen. Het komt het vaakst voor bij mensen tussen 30 en 40 jaar.
In het algemeen is het een goedaardige en langzaam groeiende tumor. Kwaadaardige tumoren zijn in dit geval zeer ongebruikelijk. We weten nog steeds niet wat de werkelijke oorzaak is van hypofyse-aandoeningen. In bepaalde gevallen is het echter gerelateerd aan een genetische ziekte met de naam multiple endocrine neoplasia.
Symptomen van een hypofyse-adenoom

Het belangrijkste symptoom van dit soort tumoren is een verandering in de uitscheiding van hormonen. Afhankelijk van het aantal tumoren in de hypofyse, kunnen ze te veel van één of meerdere hormonen produceren. Door de verandering in het endocriene systeem kunnen de symptomen de volgende zijn:
- Hyperthyreoïdie. De schildklier produceert te veel hormonen. (Dit symptoom is vrij ongebruikelijk bij mensen die lijden aan een hypofyse-adenoom).
- Syndroom van Cushing. Hierbij is het niveau van cortisol, een hormoon, hoger dan normaal.
- Acromegalie. Kinderen met te veel groeihormonen kunnen komen te lijden aan gigantisme.
- Melkafscheiding en -productie bij zowel mannen als vrouwen.
- Onregelmatige menstruatie als gevolg van een verandering van de geslachtshormonen.
Er kunnen een aantal specifieke symptomen optreden wanneer er sprake is van een compressie van de hersenstructuren, als gevolg van een grote hypofyse tumor. Deze kunnen onder andere zijn:
- visuele stoornissen zoals dubbel zicht, verlies van gezichtsveld, hangende oogleden of veranderingen in het kleurenzicht
- hoofdpijn
- vermoeidheid en slaperigheid
- een heldere afscheiding uit de neus
- misselijkheid en braken
- problemen met de reukzin
Deze symptomen kunnen zorgwekkend zijn als ze plotseling en tegelijkertijd verschijnen. Ook kunnen ze leiden tot een hypofyse-infarct. Als je een van deze symptomen opmerkt, ga dan naar je huisarts.
Misschien ook interessant:
5 schildklierbehandelingen die je thuis kunt doen
Soorten adenomen
We kunnen de hypofyse-adenomen op de volgende manier naar grootte indelen:
- Micro-adenomen: Deze zijn minder dan 1 cm groot.
- Macro-adenomen: Deze zijn groter dan 1 cm. Dit soort adenoom leidt vaak tot een groot tekort aan één of meerdere hypofysehormonen.
Ook kan men een indeling maken gebaseerd op het al dan niet afscheiden van hormonen. Volgens deze criteria zijn ze functioneel als ze actief hormonen afscheiden. Aan de andere kant zijn het niet-functionele adenomen als ze geen hormonen afscheiden.
Diagnose
Een arts moet een lichamelijk onderzoek uitvoeren om te analyseren of er problemen zijn met het gezichtsvermogen, zoals dubbel zicht. Ook bestuderen laboranten het verlies van gezichtsveld en het vermogen om te zien in bepaalde gebieden.
Vervolgens voeren ze een analyse uit van de endocriene functie om te zoeken naar tekenen van een overschot aan hormonen of andere onregelmatigheden.
Zo kunnen ze verhoogde cortisolniveaus meten, onderzoek doen naar het syndroom van Cushing of overschot aan groeihormonen. De meest relevante tests die de diagnose helpen bevestigen zijn tests van het gezichtsveld en een hersenscan.
Lees ook:
14 signalen die wijzen op een verhoogd cortisolniveau
Behandeling voor hypofyse-adenoom
In het algemeen omvatten de huidige therapeutische opties:
- Farmacologische behandeling en hormoonvervanging. Geneesmiddelen die de hormonale afscheiding blokkeren kunnen de symptomen onder controle houden en zelfs de grootte van een tumor verminderen.
- Bestraling. Dit wordt vaak gebruikt om de grootte van een tumor te verminderen.
- Operatie. Deze tumoren worden meestal via de neusholte verwijderd. In andere gevallen kan het zijn dat artsen echter een craniotomie of een schedelopening moeten toepassen.
- Een endoscopische neusoperatie bestaat uit het inbrengen van een endoscoop door de neusgaten, waarbij men deze tussen de neusschelp en het neustussenschot proberen te schuiven tot de tumor gevonden wordt. Zo kan deze dan worden verwijderd.
Blindheid is de ernstigste complicatie als er sprake is van ernstige schade aan de oogzenuw. Ook kan de tumor of de uitsnijding ervan chronische hormonale onevenwichtigheden veroorzaken en leiden tot diabetes insipidus.
De kenmerkende symptomen voor dit type diabetes zijn frequent plassen en extreme dorst. In ieder geval is het belangrijk om zo vroeg mogelijk een behandeling te zoeken als je een van de bovenstaande symptomen opmerkt.
Een hypofyse-adenoom is een langzaam groeiende, goedaardige tumor. Het ontstaat in de cellen waaruit de hypofyse bestaat. Dit is een klier die de functie van andere klieren in het lichaam regelt, daardoor is het een belangrijk orgaan.
Een hypofyse-adenoom komt echter relatief vaak voor en komt voor bij ongeveer 1 op de 1.000 volwassenen. Er is geen onderscheid als het gaat geslacht, want het treft evenveel mannen als vrouwen. Het komt het vaakst voor bij mensen tussen 30 en 40 jaar.
In het algemeen is het een goedaardige en langzaam groeiende tumor. Kwaadaardige tumoren zijn in dit geval zeer ongebruikelijk. We weten nog steeds niet wat de werkelijke oorzaak is van hypofyse-aandoeningen. In bepaalde gevallen is het echter gerelateerd aan een genetische ziekte met de naam multiple endocrine neoplasia.
Symptomen van een hypofyse-adenoom

Het belangrijkste symptoom van dit soort tumoren is een verandering in de uitscheiding van hormonen. Afhankelijk van het aantal tumoren in de hypofyse, kunnen ze te veel van één of meerdere hormonen produceren. Door de verandering in het endocriene systeem kunnen de symptomen de volgende zijn:
- Hyperthyreoïdie. De schildklier produceert te veel hormonen. (Dit symptoom is vrij ongebruikelijk bij mensen die lijden aan een hypofyse-adenoom).
- Syndroom van Cushing. Hierbij is het niveau van cortisol, een hormoon, hoger dan normaal.
- Acromegalie. Kinderen met te veel groeihormonen kunnen komen te lijden aan gigantisme.
- Melkafscheiding en -productie bij zowel mannen als vrouwen.
- Onregelmatige menstruatie als gevolg van een verandering van de geslachtshormonen.
Er kunnen een aantal specifieke symptomen optreden wanneer er sprake is van een compressie van de hersenstructuren, als gevolg van een grote hypofyse tumor. Deze kunnen onder andere zijn:
- visuele stoornissen zoals dubbel zicht, verlies van gezichtsveld, hangende oogleden of veranderingen in het kleurenzicht
- hoofdpijn
- vermoeidheid en slaperigheid
- een heldere afscheiding uit de neus
- misselijkheid en braken
- problemen met de reukzin
Deze symptomen kunnen zorgwekkend zijn als ze plotseling en tegelijkertijd verschijnen. Ook kunnen ze leiden tot een hypofyse-infarct. Als je een van deze symptomen opmerkt, ga dan naar je huisarts.
Misschien ook interessant:
5 schildklierbehandelingen die je thuis kunt doen
Soorten adenomen
We kunnen de hypofyse-adenomen op de volgende manier naar grootte indelen:
- Micro-adenomen: Deze zijn minder dan 1 cm groot.
- Macro-adenomen: Deze zijn groter dan 1 cm. Dit soort adenoom leidt vaak tot een groot tekort aan één of meerdere hypofysehormonen.
Ook kan men een indeling maken gebaseerd op het al dan niet afscheiden van hormonen. Volgens deze criteria zijn ze functioneel als ze actief hormonen afscheiden. Aan de andere kant zijn het niet-functionele adenomen als ze geen hormonen afscheiden.
Diagnose
Een arts moet een lichamelijk onderzoek uitvoeren om te analyseren of er problemen zijn met het gezichtsvermogen, zoals dubbel zicht. Ook bestuderen laboranten het verlies van gezichtsveld en het vermogen om te zien in bepaalde gebieden.
Vervolgens voeren ze een analyse uit van de endocriene functie om te zoeken naar tekenen van een overschot aan hormonen of andere onregelmatigheden.
Zo kunnen ze verhoogde cortisolniveaus meten, onderzoek doen naar het syndroom van Cushing of overschot aan groeihormonen. De meest relevante tests die de diagnose helpen bevestigen zijn tests van het gezichtsveld en een hersenscan.
Lees ook:
14 signalen die wijzen op een verhoogd cortisolniveau
Behandeling voor hypofyse-adenoom
In het algemeen omvatten de huidige therapeutische opties:
- Farmacologische behandeling en hormoonvervanging. Geneesmiddelen die de hormonale afscheiding blokkeren kunnen de symptomen onder controle houden en zelfs de grootte van een tumor verminderen.
- Bestraling. Dit wordt vaak gebruikt om de grootte van een tumor te verminderen.
- Operatie. Deze tumoren worden meestal via de neusholte verwijderd. In andere gevallen kan het zijn dat artsen echter een craniotomie of een schedelopening moeten toepassen.
- Een endoscopische neusoperatie bestaat uit het inbrengen van een endoscoop door de neusgaten, waarbij men deze tussen de neusschelp en het neustussenschot proberen te schuiven tot de tumor gevonden wordt. Zo kan deze dan worden verwijderd.
Blindheid is de ernstigste complicatie als er sprake is van ernstige schade aan de oogzenuw. Ook kan de tumor of de uitsnijding ervan chronische hormonale onevenwichtigheden veroorzaken en leiden tot diabetes insipidus.
De kenmerkende symptomen voor dit type diabetes zijn frequent plassen en extreme dorst. In ieder geval is het belangrijk om zo vroeg mogelijk een behandeling te zoeken als je een van de bovenstaande symptomen opmerkt.
Alle aangehaalde bronnen zijn grondig gecontroleerd door ons team om hun kwaliteit, betrouwbaarheid, actualiteit en geldigheid te waarborgen. De bibliografie van dit artikel werd beschouwd als betrouwbaar en wetenschappelijk nauwkeurig.
-
Jaime, M. de, López, F., & Cabrera, G. (2003). Patología de los adenomas hipofisarios. Patología.
-
Betanzos, R. R., Gerardo, E., Pérez, D., Apolonia, S., Montaño, A., Sánchez, V., … Mendoza, C. (2009). Artículo de revisión Acromegalia. Mcm.
-
CARNEIRO, C. C., MENDES, B. B., & BASTOS, L. G. (2015). ADENOMA HIPOFISÁRIO: CORRELAÇÃO CLÍNICA, LABORATORIAL E RADIOLÓGICA. REVISTA DA UNIVERSIDADE VALE DO RIO VERDE. https://doi.org/10.5892/ruvrd.v13i1.1979
Deze tekst wordt alleen voor informatieve doeleinden aangeboden en vervangt niet het consult bij een professional. Bij twijfel, raadpleeg uw specialist.







